A fibular resection is a procedure that involves removing a tumor, usually malignant or benign aggressive, of the fibula. The fibula is the bone that is next to your shin bone. This is done while preserving the surrounding bone and soft tissues.
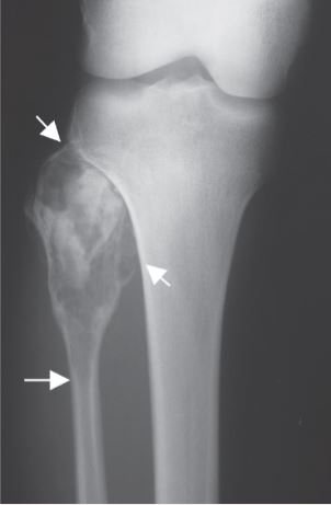
The compartment of the knee involves the tibia, fibula, patella, and distal femur bones. The fibula is a relatively small bone in comparison to the tibia (shin bone) and is a rare anatomic location for both primary and metastatic bone tumors. When a lesion does arise in this area, it typically occurs in the proximal fibula (part of bone closest to knee), followed by the diaphysis (middle part of bone), and finally the distal fibula (lower part of bone near ankle). The most common tumors to arise from the fibula, include chondrosarcoma, osteosarcoma, and benign aggressive cysts. Limb-sparing surgery can be performed for approximately 95% of tumors arising from the fibula. In some instances the extremity cannot be saved and an above the knee amputation is performed.
Contraindications for saving the limb may include neurovascular invasion, infection, pathological fracture, extensive disease, involvement of the tumor into adjacent bone (tibia), contamination from a poorly performed biopsy, recurrent disease.
An incision is made that extends from the biceps femoris muscle over the knee joint and goes down the fibula bone to the ankle. The skin surrounding the previous biopsy site is left intact.
Separating all major arteries, veins, and nerves from the tumor. In rare cases a nerve (s) may need to be removed if it is involved by the bone sarcoma. For this procedure it is important to properly identify the popliteal, tibial, and peroneal arteries and veins as well as the tibial nerve. Once the blood vessels and nerves are separated, they can be retracted (moved away from the tumor) and protected throughout the procedure.
Removal of tumor and reconstruction. Reconstruction of the defect (space where fibula was removed) involves muscle flaps utilizing the gastrocnemius muscle (calf muscle) to cover the tibia (shinbone).
Using sutures, the gastrocnemius is secured to soleus muscle (lower leg muscle) and knee joint to provide adequate coverage.
We then close your incision with sutures and cover the surgical site with bandages. Multiple large drains may also be used to drain the surgical site and prevent a seroma (buildup of fluid).
After your surgery you may spend a few nights in the hospital. Once discharged from the hospital, you will be recuperating at home. Various pain protocols and nerve blocks are used to minimize pain. Mostly all patients are very comfortable after the surgery. For the first few days you will ice the area and keep it elevated to reduce swelling. You will return to the office 2 weeks after surgery. Once cleared, you may subsequently start physical therapy depending on the extent of your procedure. We usually prescribe specific physical therapy protocols 3 times a week for 12 weeks after surgery to gradually strengthen muscles. Strengthening with significant resistance after sufficient range of motion is achieved as determined by Dr. Wittig. There may be an ultimate weight limit imposed upon you depending on various factors.
You will be monitored periodically with X-Ray and MRI imaging over the course of 5 years to ensure there are no signs of recurrence. You will have follow up appointments every 4 months for the first 2 years, then every 6 months for the next 2 years, and then once a year. Since the integrity of the limb has been restored to full or almost full, recovery is anticipated provided the patient adheres to strict physical therapy.
Dr. James Wittig narrates a video illustrating the surgical technique for resection of the fibula. | WATCH VIDEO