James C. Wittig, MD
Book An Appointment
Surgeries We Perform
Surgery for Bone Sarcomas
Radical Resection of Bone Tumors
Endoprosthetic Reconstruction
Proximal Humerus Prosthesis Replacement
Distal Humerus and Total Elbow Prosthetic Replacement
Total Femur Tumor Prosthesis
Proximal Femur Tumor Replacement
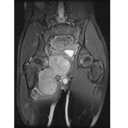
Pelvic Resections
Fibular Resection
Distal Femur Tumor Prosthesis Replacement
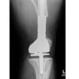
Proximal Tibia Tumor Prosthesis Replacement
Surgery for Soft Tissue Sarcomas
Radical Resection of Soft Tissue Tumors
Quadriceps Muscle Group Excision
Resection of the posterior component of the thigh
Buttockectomy
Resections in the popliteal fossa and posterior compartments of leg
Adductor Muscle Group Excision
Surgery for Benign Bone Tumors
Excision of Benign Bone Tumors
Radiofrequency Ablation
Cryosurgery
Surgery for Benign Soft Tissue Tumors
Excision of Benign Soft Tissue Tumors