Undifferentiated Pleomorphic Sarcoma of Bone

Undifferentiated Pleomorphic Sarcoma (UPS) is the second most common bone sarcoma in adults after chondrosarcoma. Previously known as Malignant Fibrous Histiocytoma (MFH), UPS gets its name because of the way it looks under a microscope (histology). Undifferentiated describes how the cells do not look like the body tissues in which they develop. Pleomorphic means the cells grow in different shapes and sizes. 

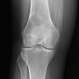
102A) Plain AP Xray Of Right Femur MFH
Screen Shot 2022 08 19 At 11.26.50 AM

What is Undifferentiated Pleomorphic Sarcoma?

Who is usually affected?
Who is usually affected?
  • • Most cases are in older adults, ages 50-70 years old, yet can occur in any age.
  • • Risk factors include being older than 50 years old and previous radiation therapy.
Signs and Symptoms
Signs and Symptoms
  • • The most common sign is pain and swelling. Night pain often occurs when at rest.
  • • Patients may also experience a fracture through the bone because the tumor weakened the bone. 
Causes
Causes
  • • There is no clear cause of UPS.

 

 

 

Common Bones Involved
Common Bones Involved
  • • More commonly occurs as a soft tissue sarcoma in the muscles of the legs and arms.  Most common in the bones around the knee joint, which includes the bottom of the femur and the top of the tibia. The upper part of the humerus near the shoulder is also a common site.
Biological Behavior
Biological Behavior
  • • The disease often grows quickly and spreads to other parts of the body (metastasis) including the lungs.
  • • The most common sites for spread are the lungs and other bones.

 

 

 

 

Diagnosis
Diagnosis
  • • The work-up often consists of a physical examination, X-rays, CT scans, MRI, and sometimes bone scans are required. CT scans can be used to check for subtle mineralization that may help with the diagnosis
  • • CT of the chest is necessary to check for pulmonary metastases. The lungs and other bones are the to most common sites for the tumor to spread.
  • • The diagnosis is often confirmed with a biopsy, which means taking a sample of tumor and having it analyzed under a microscope by a pathologist.

Risk to your limbs

UPS is a cancerous aggressive tumors that, if left unchecked, will grow and destroy your normal bone. As the tumor slowly grows, the bone is weakened and you are at an increased risk of breaking the bone due to the tumor (called a pathological fracture). They may also spread to your lungs or other bones.

Radiographic imaging is used to help form a diagnosis. These include X-Ray, MRI, CT and Bone Scans

An example of an UPS MRI is shown.

102C) Coronal T1 MRI Of Right Femur MFH

Treatment of Undifferentiated Pleomorphic Sarcoma

Treatment is a radical resection surgery with preoperative (neoadjuvant) and postoperative (adjuvant) chemotherapy.

I've seen many doctors and I can confidently attest Dr. Wittig is the preeminent orthopaedic specialist. He is genuinely kind and caring, as he demonstrated by completely addressing my concerns and compassionately relating to what I was dealing with. He clearly outlined the plan of attack, and recommended the two additional doctors who would become part of my 'team'. Dr. Wittig was so effective in allaying our fears and bringing us optimism. My surgery was significant, but I was up and walking the next day and back at the gym 5 weeks later. This is further testament to Dr. Wittig's skill. He saved my leg and my life, and I feel so very blessed to say he is my doctor. I have already recommended him to others, and I will continue to do so. I would trust him with my closest family and lifelong friends. BEST DOCTOR EVER.

S.G.

Img16516

Hey! I am Dr. Wittig.

Myself and my amazing team are dedicated to saving your life and your limb. Losing a limb because of a tumor can be a terrifying experience. But, it does not have to be the only option. I’ve spent 20+ years as a Board-Certified Orthopedic Surgeon and Orthopedic Oncologist.

I’ve devoted my career to helping children and adults afflicted with bone and soft tissue masses by performing complex limb saving surgeries. Most patients can have their limb saved, which may require innovative techniques.

Patients afflicted with musculoskeletal tumors have complex conditions that are best taken care of at large hospitals. I am the Chairman of Orthopedics and Chief of Orthopedic Oncology at Morristown Medical Center. My philosophy is a multidisciplinary team approach, working together to tailor treatment to individual patients. Education and research are essential to my practice, providing the best setting for extraordinary patient care. Because of this, we have some of the top results in the country.