Undifferentiated Pleomorphic Sarcoma of Soft-Tissue

Undifferentiated Pleomorphic Sarcoma (UPS) is a cancerous (malignant) soft-tissue tumor that most commonly affects the soft-tissues of the upper and lower extremities, however can occur anywhere.

Screen Shot 2022 09 09 At 11.27.59 AM
Screen Shot 2022 08 19 At 11.26.50 AM

What is Undifferentiated Pleomorphic Sarcoma of Soft-Tissue?

Undifferentiated Pleomorphic Sarcoma (UPS) is an aggressive, malignant (cancerous) tumor that most commonly affects the soft-tissues of the upper and lower extremities. Treatment and an early diagnosis are important, as UPS has the ability to metastasize, or spread, throughout the body with the lungs being the most common site for metastasis.

Who is usually affected?
Who is usually affected?
  • • The majority of individuals affected tend to belong to the older population.
  • • There is also an increased risk if an individual has radiation exposure.
Causes
Causes
  • • The cause of UPS is unknown.
Common Sites Involved
Common Sites Involved
  • • Lower extremities
  • • Upper extremities
  • • Rarely occurs in the abdomen (retroperitoneum)
  • • Can metastasize to lungs, liver, lymph nodes and other bones.
Signs and Symptoms
Signs and Symptoms
  • • A growing lump or mass
  • • Pain
  • • Swelling
  • • Fever
  • • Weight loss
Biological Behavior
Biological Behavior
  • • UPS of soft-tissue originates from mesenchymal cells (stem cells).
Diagnosis
Diagnosis
  • • The work-up for UPS often consists of a physical examination, X-ray, MRI, CT, and bone scans. Also, a bone scan, CT PET scan, and CT chest/abdomen/pelvis may be ordered to check if the tumor has spread, or metastasized, to the chest/abdomen/ pelvis or other parts of the body. The diagnosis is often confirmed with a biopsy, which samples the tumor for further analysis.

Risk to your limbs

UPS of soft-tissue is a soft-tissue sarcoma. Soft-tissue sarcomas, such as UPS, grow in the soft-tissues of the extremities and compromise or destroy the affected soft-tissue and muscles. These tumors can compress or stretch important vessels and nerves, and occasionally wrap around these structures making it difficult to remove the mass without an amputation. They also have the potential to invade adjacent bones. Without treatment, UPS can metastasize or spread throughout the body, with the lungs, liver, and bones being the most common sites.

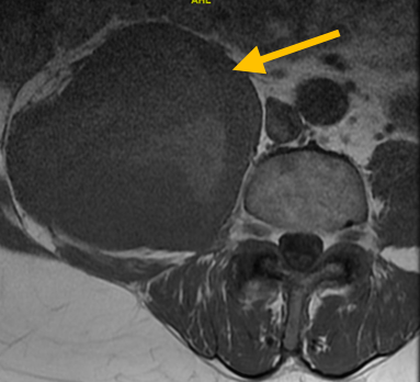
Radiographic imaging is used to help form a diagnosis of UPS. These include X-Ray, MRI, CT and Bone Scans

An example of an MRI is shown.

UPS MR

Treatment of Undifferentiated Pleomorphic Sarcoma

The treatment of UPS includes surgical resection of the tumor through a limb-sparing surgery called a wide or radical resection. When the tumor compresses or stretches important vessels and nerves, or occasionally wraps around these structures, it becomes difficult to remove the mass without an amputation. Additionally, chemotherapy and radiation are used as adjuvant treatments of UPS. Early and effective treatment is essential, as UPS has the potential to metastasize or spread throughout the body, with the lungs, liver, and bones being the most common sites.

I've seen many doctors and I can confidently attest Dr. Wittig is the preeminent orthopaedic specialist. He is genuinely kind and caring, as he demonstrated by completely addressing my concerns and compassionately relating to what I was dealing with. He clearly outlined the plan of attack, and recommended the two additional doctors who would become part of my 'team'. Dr. Wittig was so effective in allaying our fears and bringing us optimism. My surgery was significant, but I was up and walking the next day and back at the gym 5 weeks later. This is further testament to Dr. Wittig's skill. He saved my leg and my life, and I feel so very blessed to say he is my doctor. I have already recommended him to others, and I will continue to do so. I would trust him with my closest family and lifelong friends. BEST DOCTOR EVER.

S.G.

Img16516

Hey! I am Dr. Wittig.

Myself and my amazing team are dedicated to saving your life and your limb. Losing a limb because of a tumor can be a terrifying experience. But, it does not have to be the only option. I’ve spent 20+ years as a Board-Certified Orthopedic Surgeon and Orthopedic Oncologist.

I’ve devoted my career to helping children and adults afflicted with bone and soft tissue masses by performing complex limb saving surgeries. Most patients can have their limb saved, which may require innovative techniques.

Patients afflicted with musculoskeletal tumors have complex conditions that are best taken care of at large hospitals. I am the Chairman of Orthopedics and Chief of Orthopedic Oncology at Morristown Medical Center. My philosophy is a multidisciplinary team approach, working together to tailor treatment to individual patients. Education and research are essential to my practice, providing the best setting for extraordinary patient care. Because of this, we have some of the top results in the country.