Rhabdomyosarcoma

A cancerous soft tissue tumor that arises from the skeletal muscle. This condition is rare, yet one of the more common cancers seen in children.





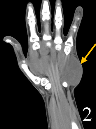
Rhabdomyosarcoma
Screen Shot 2022 08 19 At 11.26.50 AM

What is a Rhabdomyosarcoma?

 

Causes
Causes
  • • In most cases, the cause of rhabdomyosarcoma is not known.
Signs and Symptoms
Signs and Symptoms
  • • Signs and symptoms include either a painful or painless mass.
Who is usually affected?
Who is usually affected?
  • • Slight preference for males over females. 
  • • Mostly seen in children, and is extremely rare in adults.
  • • This condition is rare, yet one of the more common cancers seen in children.
Common Sites Involved
Common Sites Involved
  • • Common sites include genitourinary system, head, neck, pelvis, lower extremities. Less commonly seen in the upper extremities.

 

Biological Behavior
Biological Behavior
  • • A cancerous soft tissue tumor from the skeletal muscle.
  • • 25% of cases will invade and damage the surrounding bone.
  • • High rate of spreading, or metastasis, to the lungs, lymph nodes, bone, brain and liver. 

 

 

 

 

Diagnosis
Diagnosis
  • • The work-up often consists of a physical examination, X-rays, CT scans, MRI, and sometimes bone scans are required. CT scans can be used to check for subtle mineralization that may help with the diagnosis
  • • CT of the chest is necessary to check for pulmonary metastases. The lungs and other bones are the to most common sites for the tumor to spread.
  • • The diagnosis is often confirmed with a biopsy, which means taking a sample of tumor and having it analyzed under a microscope by a pathologist.

Risk to your limbs

Rhabdomyosarcoma are cancerous aggressive tumors that, if left unchecked, will grow and destroy your normal bone. As the tumor slowly grows, the bone is weakened and you are at an increased risk of breaking the bone due to the tumor (called a pathological fracture). They may also spread to your lungs or other bones.

Radiographic imaging is used to help form a diagnosis. These include X-Ray, MRI, CT and Bone Scans

An example of an MRI is shown.

I've seen many doctors and I can confidently attest Dr. Wittig is the preeminent orthopaedic specialist. He is genuinely kind and caring, as he demonstrated by completely addressing my concerns and compassionately relating to what I was dealing with. He clearly outlined the plan of attack, and recommended the two additional doctors who would become part of my 'team'. Dr. Wittig was so effective in allaying our fears and bringing us optimism. My surgery was significant, but I was up and walking the next day and back at the gym 5 weeks later. This is further testament to Dr. Wittig's skill. He saved my leg and my life, and I feel so very blessed to say he is my doctor. I have already recommended him to others, and I will continue to do so. I would trust him with my closest family and lifelong friends. BEST DOCTOR EVER.

S.G.

Img16516

Hey! I am Dr. Wittig.

Myself and my amazing team are dedicated to saving your life and your limb. Losing a limb because of a tumor can be a terrifying experience. But, it does not have to be the only option. I’ve spent 20+ years as a Board-Certified Orthopedic Surgeon and Orthopedic Oncologist.

I’ve devoted my career to helping children and adults afflicted with bone and soft tissue masses by performing complex limb saving surgeries. Most patients can have their limb saved, which may require innovative techniques.

Patients afflicted with musculoskeletal tumors have complex conditions that are best taken care of at large hospitals. I am the Chairman of Orthopedics and Chief of Orthopedic Oncology at Morristown Medical Center. My philosophy is a multidisciplinary team approach, working together to tailor treatment to individual patients. Education and research are essential to my practice, providing the best setting for extraordinary patient care. Because of this, we have some of the top results in the country.