Periosteal Chondroma 

A very rare benign tumor composed of cartilage that grows from the surface of the bone. Cartilage is made of a tough, flexible, connective tissue found in many areas of the body and lines joint surfaces. The periosteal chondroma forms in the periosteum, a fibrous membrane made up of blood vessels and connective tissue that covers the bone. Also known as juxtacortical chondroma.

Periosteal Chondroma
Screen Shot 2022 08 19 At 11.26.50 AM

What is a Periosteal Chondroma?

Who is usually affected?
Who is usually affected?
  • • Occurs at all ages but usually in ages less than 30 years old.
  • • More common in males with 2:1 sex ratio. 

 

Causes
Causes
  • • The cause is unknown.

 

Common Bones Involved
Common Bones Involved
  • • 50% of all cases occur in the long bone of the arm, called the humerus.
Signs and Symptoms
Signs and Symptoms
  • • Usually an incidental finding on imaging with no symptoms but sometimes a possible symptomatic mass that is mildly painful. 
Biological Behavior
Biological Behavior
  • • There is no metastasis, no malignant change, it is not aggressive and a very rare occurrence. 
  • • It usually grows up to 5 cm and then stops growing.

 

 

Diagnosis
Diagnosis
  • • Diagnostic testing includes X-ray, MRI and needle biopsy. 
  • • Sometimes a CT scan may be necessary.
  • • The diagnosis is often confirmed with a biopsy, which means taking a sample of tumor and having it analyzed under a microscope by a pathologist.

Risk to your limbs

Periosteal Chondromas are benign but aggressive tumors that, if left unchecked, will grow and destroy your normal bone. As the tumor slowly grows, the bone is weakened and you are at an increased risk of breaking the bone due to the tumor (called a pathological fracture). They will not spread to your lungs or other bones.

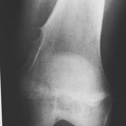
Radiographic imaging is used to help form a diagnosis. These include X-Ray, MRI, CT and Bone Scans

An example of a X-Ray is shown.

Treatment of

Periosteal Chondroma

Treatments include en bloc excision with margins, Another option if biopsy proven to be benign  is observation of the tumor if the patient is asymptomatic and the tumor causes no pain. The standard of treatment includes a marginal excision without the removal of the surrounding tissue.

Intralesional Curettage
Intralesional Curettage

Intralesional Curettage means to scoop the tumor out using a spoon-like tool called a curette. This is a surgery that aims to remove the mass and restore the bone so that the patient can get back to normal function. The ABC is identified within the bone and scooped, or curetted, out. The cavity is then shaved down with a Midas Rex Drill, which is similar to a dental drill. This drill removes more tumor cells.

Bone Grafting and Fixation
Bone Grafting and Fixation

The empty bone cavity is usually filled with bone graft or bone cement. Bone can be donated (allograft) or taken from the patient themselves (autograft). Fixation devices, such as a plate and screws, may be used in specific situations to prevent postoperative fracture. 

I've seen many doctors and I can confidently attest Dr. Wittig is the preeminent orthopaedic specialist. He is genuinely kind and caring, as he demonstrated by completely addressing my concerns and compassionately relating to what I was dealing with. He clearly outlined the plan of attack, and recommended the two additional doctors who would become part of my 'team'. Dr. Wittig was so effective in allaying our fears and bringing us optimism. My surgery was significant, but I was up and walking the next day and back at the gym 5 weeks later. This is further testament to Dr. Wittig's skill. He saved my leg and my life, and I feel so very blessed to say he is my doctor. I have already recommended him to others, and I will continue to do so. I would trust him with my closest family and lifelong friends. BEST DOCTOR EVER.

S.G.

Img16516

Hey! I am Dr. Wittig.

Myself and my amazing team are dedicated to saving your life and your limb. Losing a limb because of a tumor can be a terrifying experience. But, it does not have to be the only option. I’ve spent 20+ years as a Board-Certified Orthopedic Surgeon and Orthopedic Oncologist.

I’ve devoted my career to helping children and adults afflicted with bone and soft tissue masses by performing complex limb saving surgeries. Most patients can have their limb saved, which may require innovative techniques.

Patients afflicted with musculoskeletal tumors have complex conditions that are best taken care of at large hospitals. I am the Chairman of Orthopedics and Chief of Orthopedic Oncology at Morristown Medical Center. My philosophy is a multidisciplinary team approach, working together to tailor treatment to individual patients. Education and research are essential to my practice, providing the best setting for extraordinary patient care. Because of this, we have some of the top results in the country.