Neurofibroma 

A neurofibroma is a somewhat rare, benign (non-cancerous) soft-tissue tumor that can occur on any peripheral nerve. It presents as a small mass with mild to no symptoms. Surgical removal is a common treatment for nuerofibromas.



Neurofibroma
Screen Shot 2022 08 19 At 11.26.50 AM

What is a Neurofibroma?

Neurofibroma is a benign (non-cancerous) tumor of peripheral nerves. They present as small masses with mild to no symptoms. While neurofibroma can be a solitary entity, it may also be associated with neurofibromatosis (NF-1), which is a genetic condition where those affected develop numerous peripheral nerve tumors, including neurofibromas or schwannomas. This soft-tissue tumor occurs in all ages and is equally common in males and females.

Who is usually affected?
Who is usually affected?
  • • There is no specific prevalence for gender or age, however most neurofibroma cases occur between the ages of 20-30.
Signs and Symptoms
Signs and Symptoms
  • • Signs and symptoms include a small, painless, slow-growing nodule.
Causes
Causes
  • • Neurofibroma is often associated with neurofibromatosis (NF-1), which is a genetic disorder that causes the development of numerous peripheral nerve tumors due to a mutation.
Common Sites Involved
Common Sites Involved
  • • Any peripheral nerve.
  • • Superficial tumors of the dermis (skin), including the orbit, face, back, inguinal area.
  • • Localized cutaneous neurofibroma- grow as a localized nodule.
  • • Diffuse neurofibroma- ill-defined, infiltrative mass involving the skin or soft-tissue.
  • • Localized intraneural neurofibroma- a solitary intraneural mass involving a peripheral nerve.
  • • Does not metastasize.
Biological Behavior
Biological Behavior
  • • Usually arises from small nerves and readily extends into soft-tissue.
  • • Low recurrence rate after surgical removal.
  • • Isolate neurofibromas rarely change to a malignancy.
  • • Does not metastasize.
Diagnosis
Diagnosis
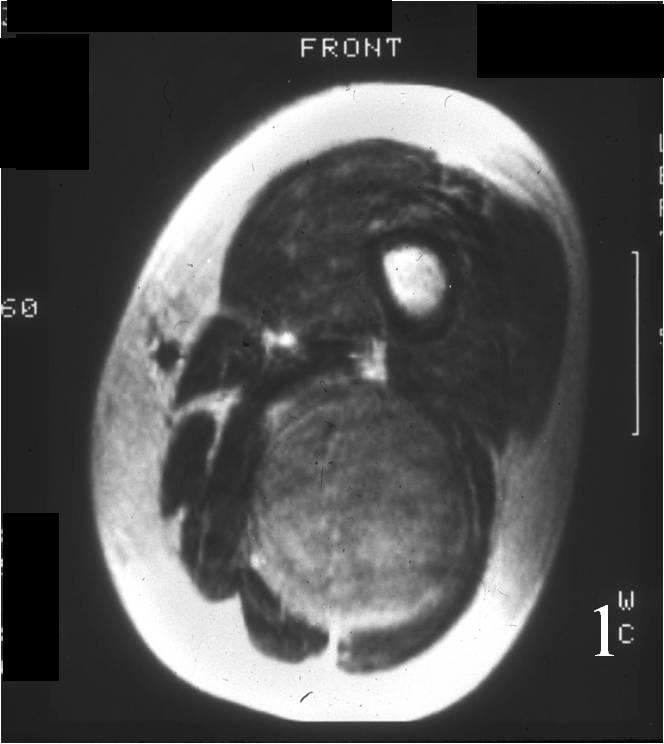
  • • The work-up for neurofibroma often consists of a physical examination, X-ray, MRI, CT, and bone scans. The diagnosis is often confirmed with a biopsy, which samples the tumor for further analysis.

Risk to your limbs

Neurofibroma is a non-cancerous soft-tissue tumor that arises from any peripheral nerve. Neurofibroma does not metastasize or spread throughout the body. Due to its location, there is a risk of nerve damage associated with neurofibroma. It is important to seek and consult a doctor, obtain proper radiographic studies, and confirm the diagnosis, as some differential diagnoses include schwannoma, and malignant peripheral nerve sheath tumor (MPNST).

Radiographic imaging is used to help form a diagnosis of neurofibroma. These include X-Ray, MRI, CT and Bone Scans

Hero 96911

Treatment of Neurofibroma

The primary treatment of neurofibroma consists of surgical excision. There is some risk of neurological damage is the tumor involves a major nerve. However, once removed, there is a low recurrence rate. Since neurofibroma is a benign soft-tissue mass, chemotherapy and radiation are not needed to treat.

Surgery
Surgery

Surgical treatment includes wide or radical resections to remove the complete tumor and additional margins. The removal of additional, surrounding margins ensures that the tumor is completely removed and decreases the chances of the tumor coming back.

I've seen many doctors and I can confidently attest Dr. Wittig is the preeminent orthopaedic specialist. He is genuinely kind and caring, as he demonstrated by completely addressing my concerns and compassionately relating to what I was dealing with. He clearly outlined the plan of attack, and recommended the two additional doctors who would become part of my 'team'. Dr. Wittig was so effective in allaying our fears and bringing us optimism. My surgery was significant, but I was up and walking the next day and back at the gym 5 weeks later. This is further testament to Dr. Wittig's skill. He saved my leg and my life, and I feel so very blessed to say he is my doctor. I have already recommended him to others, and I will continue to do so. I would trust him with my closest family and lifelong friends. BEST DOCTOR EVER.

S.G.

Img16516

Hey! I am Dr. Wittig.

Myself and my amazing team are dedicated to saving your life and your limb. Losing a limb because of a tumor can be a terrifying experience. But, it does not have to be the only option. I’ve spent 20+ years as a Board-Certified Orthopedic Surgeon and Orthopedic Oncologist.

I’ve devoted my career to helping children and adults afflicted with bone and soft tissue masses by performing complex limb saving surgeries. Most patients can have their limb saved, which may require innovative techniques.

Patients afflicted with musculoskeletal tumors have complex conditions that are best taken care of at large hospitals. I am the Chairman of Orthopedics and Chief of Orthopedic Oncology at Morristown Medical Center. My philosophy is a multidisciplinary team approach, working together to tailor treatment to individual patients. Education and research are essential to my practice, providing the best setting for extraordinary patient care. Because of this, we have some of the top results in the country.