Schwannoma

A schwannoma is a benign (non-cancerous), soft-tissue mass that presents on the outer, protective layer of a nerve, called the epineurium. To treat, a schwannoma can be marginally excised, meaning only the schwannoma is surgically removed, to spare or protect the nerve from excision.



Schwannoma
Screen Shot 2022 08 19 At 11.26.50 AM

What is a Schwannoma?

Schwannoma is a benign (non-cancerous) soft-tissue mass that forms on the outer, protective layer of a nerve, called the epineurium. They commonly occur in the peripheral nerves of the head, neck, upper extremities, and lower extremities. They may present as a painful or painless slow-growing mass. It is often difficult to distinguish a schwannoma with its cancerous counterpart, the malignant peripheral nerve sheath tumor, so a biopsy is needed to confirm the diagnosis.

Who is usually affected?
Who is usually affected?
  • • Equally affects males and females.
  • • The majority of cases occur between the ages of 20-50, however it occurs in all ages.
Causes
Causes
  • • Those diagnosed with NF-2, schwannomatosis, and Carney Complex may be at a higher risk of developing schwannomas.
Common Sites Involved
Common Sites Involved
  • • Most commonly found at major peripheral nerves of the head, neck, paraspinal region, and flexor surfaces of the upper extremities and lower extremities.
  • • May involve nerve roots from spine.
  • • Multiple schwannomas may occurs along the course of a nerve.
Signs and Symptoms
Signs and Symptoms
  • • Signs and symptoms include a mobile, slow-growing mass.
  • • The mass and surrounding area may or may not be painful.
  • • The mass is usually less than 5 cm.
  • • Positive for tinel's sign.
Biological Behavior
Biological Behavior
  • • Consists almost exclusively of Schwann cells.
  • • Strong expression of S-100 protein.
  • • Neurofibromatosis 1 associated with multiple schwannomas.
  • • Does not metastasize.
  • • Rarely recurs.
  • • Pain is usually relieved with removal.
  • • Malignant degeneration is exceedingly rare.
Diagnosis
Diagnosis
  • • The work-up for Schwannoma often consists of a physical examination, X-ray, MRI, CT, and bone scans. The diagnosis is often confirmed with a biopsy, which samples the tumor for further analysis.

Risk to your limbs

Schwannoma is a non-cancerous, soft-tissue mass that presents on the outer, protective layer of a nerve, called the epineurium. Some potential risks of these tumors include nerve damage, especially if the tumor is compressed, stretched, or wrapped around an important nerve or vessel. Schwannomas are not malignant, and therefore cannot metastasize or spread to other parts of the body. 

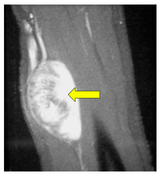
Radiographic imaging is used to help form a diagnosis. These include X-Ray, MRI, CT and Bone Scans

An example of an MRI is shown.

Schwannoma MR

Treatment of Schwannoma

The treatment of a schwannoma includes limb-sparing surgery, in which the tumor is completely excised (removed) with the nerve spared whenever possible. With surgical removal, recurrence is rare.

Surgery
Surgery

Surgical treatment includes wide or radical resections to remove the complete tumor and additional margins. The removal of additional, surrounding margins ensures that the tumor is completely removed and decreases the chances of the tumor coming back.

I've seen many doctors and I can confidently attest Dr. Wittig is the preeminent orthopaedic specialist. He is genuinely kind and caring, as he demonstrated by completely addressing my concerns and compassionately relating to what I was dealing with. He clearly outlined the plan of attack, and recommended the two additional doctors who would become part of my 'team'. Dr. Wittig was so effective in allaying our fears and bringing us optimism. My surgery was significant, but I was up and walking the next day and back at the gym 5 weeks later. This is further testament to Dr. Wittig's skill. He saved my leg and my life, and I feel so very blessed to say he is my doctor. I have already recommended him to others, and I will continue to do so. I would trust him with my closest family and lifelong friends. BEST DOCTOR EVER.

S.G.

Img16516

Hey! I am Dr. Wittig.

Myself and my amazing team are dedicated to saving your life and your limb. Losing a limb because of a tumor can be a terrifying experience. But, it does not have to be the only option. I’ve spent 20+ years as a Board-Certified Orthopedic Surgeon and Orthopedic Oncologist.

I’ve devoted my career to helping children and adults afflicted with bone and soft tissue masses by performing complex limb saving surgeries. Most patients can have their limb saved, which may require innovative techniques.

Patients afflicted with musculoskeletal tumors have complex conditions that are best taken care of at large hospitals. I am the Chairman of Orthopedics and Chief of Orthopedic Oncology at Morristown Medical Center. My philosophy is a multidisciplinary team approach, working together to tailor treatment to individual patients. Education and research are essential to my practice, providing the best setting for extraordinary patient care. Because of this, we have some of the top results in the country.