Pleomorphic Liposarcoma

Pleomorphic liposarcoma is a malignant, or cancerous, soft-tissue tumor that most commonly occurs intramuscularly or subcutaneously. It is the least common subtype of liposarcomas, however treated similarly to other liposarcomas, including surgical resection or removal of the tumor.



Pleomorphic Liposarcoma
Screen Shot 2022 08 19 At 11.26.50 AM

What is Pleomorphic Liposarcoma?

Pleomorphic liposarcoma is a high grade sarcoma of lipogenic (fatty/adipose) origin. It is a type of liposarcoma that has some lipoblasts mixed with mostly high grade pleomorphic appearing spindle cells. Pleomorphic liposarcomas are fast-growing, aggressive cancerous tumors that have the potential to metastasize, most commonly to the lungs. It is the least common subtype of liposarcomas, yet is treated similarly to other liposarcomas with surgical resection of the tumor.

Who is usually affected?
Who is usually affected?
  • • Rare- Represents 5 to 10% of all liposarcomas.
  • • The majority of cases occur between the ages of 50-70 and rarely occurs in children.
  • • There is no predilection for any race or sex.
  • • Associated with post-radiation treatment in patients with neurofibromatosis.

 

Common Sites Involved
Common Sites Involved
  • • A majority of cases occur in the lower extremities, with the thigh being the most common site.
  • • Also occurs in the upper extremities.
  • • Most commonly occurs intramuscularly or in other deep tissues/sites.
  • • Occasionally occurs in subcutaneous tissue.
  • • Can metastasize to lungs, liver, lymph nodes and other bones.
Causes
Causes
  • • Aside from the uncontrollable growth of abnormal cells to create a fatty mass, there is no known cause.
  • • Associated with with post radiation treatment for neurofibromatosis.
Signs and Symptoms
Signs and Symptoms
  • • Signs and symptoms include swelling and sometimes pain. 
  • • Most patients present with a large, firm, and rapidly growing mass.
Biological Behavior
Biological Behavior
  • • There is a high risk for metastasis and local recurrence. 
  • • Risk factors include: older age, large tumor, very deep in the tissue, vascular invasion, truncal local, and incomplete excision of the mass.

 

 

Diagnosis
Diagnosis
  • • The work-up for pleomorphic liposarcoma often consists of a physical examination, X-ray, MRI, CT, and bone scans. Also, a bone scan, CT PET scan, and CT chest/abdomen/pelvis may be ordered to check if the tumor has spread, or metastasized, to the chest/abdomen/ pelvis or other parts of the body. The diagnosis is often confirmed with a biopsy, which samples the tumor for further analysis.

Risk to your limbs

Pleomorphic liposarcoma is a malignant sarcoma that commonly occurs  intramuscularly or subcutaneously. Like all soft-tissue sarcomas, these liposarcomas grow in the soft-tissues of the extremities and compromise or destroy the affected soft-tissue and muscles. These tumors can compress or stretch important vessels and nerves, and occasionally wrap around these structures making it difficult to remove the mass without an amputation. They also have the potential to invade adjacent bones. Without treatment, pleomorphic liposarcomas can metastasize or spread throughout the body, with the lungs, liver, and bones being the most common sites. Several risk factors include age, location and depth of the sarcoma, vascular invasion, and incomplete excision of the sarcoma.

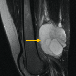
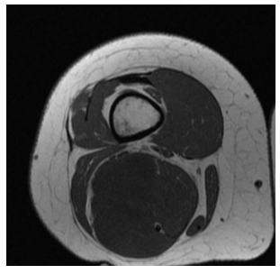
Radiographic imaging is used to help form a diagnosis of pleomorphic liposarcoma. These include X-Ray, MRI, CT and Bone Scans

An example of an MRI is shown.

Treatment of Pleomorphic Liposarcoma

The treatment of pleomorphic liposarcoma includes surgical excision through wide or radical resections. Limb-sparing surgery is performed whenever possible, however if the tumor compresses, stretches, or is wrapped around vital nerves and vessels then an amputation may be performed. Additionally, radiation and/or chemotherapy may be administered as treatment. Early diagnosis and treatment is beneficial, as there is a poorer prognosis if the cancer has metastasized.

I've seen many doctors and I can confidently attest Dr. Wittig is the preeminent orthopaedic specialist. He is genuinely kind and caring, as he demonstrated by completely addressing my concerns and compassionately relating to what I was dealing with. He clearly outlined the plan of attack, and recommended the two additional doctors who would become part of my 'team'. Dr. Wittig was so effective in allaying our fears and bringing us optimism. My surgery was significant, but I was up and walking the next day and back at the gym 5 weeks later. This is further testament to Dr. Wittig's skill. He saved my leg and my life, and I feel so very blessed to say he is my doctor. I have already recommended him to others, and I will continue to do so. I would trust him with my closest family and lifelong friends. BEST DOCTOR EVER.

S.G.

Img16516

Hey! I am Dr. Wittig.

Myself and my amazing team are dedicated to saving your life and your limb. Losing a limb because of a tumor can be a terrifying experience. But, it does not have to be the only option. I’ve spent 20+ years as a Board-Certified Orthopedic Surgeon and Orthopedic Oncologist.

I’ve devoted my career to helping children and adults afflicted with bone and soft tissue masses by performing complex limb saving surgeries. Most patients can have their limb saved, which may require innovative techniques.

Patients afflicted with musculoskeletal tumors have complex conditions that are best taken care of at large hospitals. I am the Chairman of Orthopedics and Chief of Orthopedic Oncology at Morristown Medical Center. My philosophy is a multidisciplinary team approach, working together to tailor treatment to individual patients. Education and research are essential to my practice, providing the best setting for extraordinary patient care. Because of this, we have some of the top results in the country.