Myxoid Liposarcoma

Myxoid Liposarcoma is a malignant, or cancerous, soft-tissue sarcoma that most commonly occurs in the deep tissues of the thigh, or other extremities.



Myxoid Liposarcoma
Screen Shot 2022 08 19 At 11.26.50 AM

What is Myxoid Liposarcoma?

Myxoid Liposarcoma is the second most common group of adipocytic/lipogenic sarcomas accounting for about 30% to 35% of all liposarcomas. It is a malignant tumor histologically characterized by round to oval mesenchymal cells, small signet ring lipoblasts, and a rich network of capillaries in a myxoid stroma. Myxoid Liposarcoma most commonly occurs deep in the soft-tissues of lower and upper extremities, or less commonly in the retroperitoneum.

Who is usually affected?
Who is usually affected?
  • • The majority of cases occur between the ages of 50-70.
  • • Slightly more common in males, and most frequent in the Caucasian population.
Causes
Causes
  • • Aside from the uncontrollable growth of abnormal cells to create a fatty mass, there is no known cause.
Common Sites Involved
Common Sites Involved
  • • Lower extremities- the thigh is the most common site
  • • Upper extremities
  • • Soft-tissues of the head and neck
  • • Retroperitoneum
  • • Can metastasize to lungs, liver, lymph nodes and other bones.
Signs and Symptoms
Signs and Symptoms
  • • Most patients present with an enlarging, painless mass.
  • • About  30% of patients may have dull aching pain or tenderness.
  • • Some patients report trauma in the affected area (trauma does not cause MLPS) and the MLPS may be misconstrued as a hematoma or muscle strain.
Biological Behavior
Biological Behavior
  • • MLPS have shown 69 – 100% of disease-specific survival .
  • • High risk of local recurrence.
  • • 1 in 3 patients present with metastases and often occur in unusual sites before metastasizing to the lungs, such as soft-tissue or bone.
  • • Important prognostic factors are age of the patient and presence of Round cell component.
  • • The presence of hypercellularity or round cell differentiation is associated with worsening prognosis and higher rate of metastases.
  • • The prognosis for multifocal myxoid liposarcoma is poor.
Diagnosis
Diagnosis
  • • The work-up for myxoid liposarcoma often consists of a physical examination, X-ray, MRI, CT, and bone scans. Also, a bone scan, CT PET scan, and CT chest/abdomen/pelvis may be ordered to check if the tumor has spread, or metastasized, to the chest/abdomen/ pelvis or other parts of the body. The diagnosis is often confirmed with a biopsy, which samples the tumor for further analysis.

Risk to your limbs

Myxoid liposarcoma is a malignant soft-tissue sarcoma that has a high rate of local recurrence. Important risk factors include a high-grade tumor, P53 over-expression, necrosis, and multifocality. As all soft-tissue sarcomas, myxoid liposarcomas grow in the soft-tissues of the extremities and compromise or destroy the affected soft-tissue and muscles. These tumors can compress or stretch important vessels and nerves, and occasionally wrap around these structures making it difficult to remove the mass without an amputation. They also have the potential to invade adjacent bones. Without treatment, these tumors can metastasize or spread throughout the body, with the lungs, liver, and bones being the most common sites.

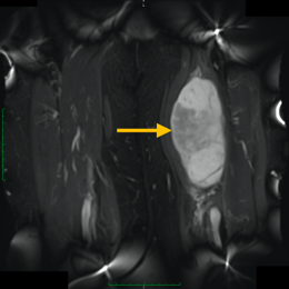
Radiographic imaging is used to help form a diagnosis. These include X-Ray, MRI, CT and Bone Scans

An example of an MRI is shown.

Myxoid MR

Treatment of Myxoid Liposarcoma

The treatment of myxoid liposarcoma includes surgical excision through wide or radical resections. Limb-sparing surgery is performed whenever possible, however if the tumor compresses, stretches, or is wrapped around vital nerves and vessels then an amputation may be performed. Additionally, radiation and/or chemotherapy may be administered as treatment.

I've seen many doctors and I can confidently attest Dr. Wittig is the preeminent orthopaedic specialist. He is genuinely kind and caring, as he demonstrated by completely addressing my concerns and compassionately relating to what I was dealing with. He clearly outlined the plan of attack, and recommended the two additional doctors who would become part of my 'team'. Dr. Wittig was so effective in allaying our fears and bringing us optimism. My surgery was significant, but I was up and walking the next day and back at the gym 5 weeks later. This is further testament to Dr. Wittig's skill. He saved my leg and my life, and I feel so very blessed to say he is my doctor. I have already recommended him to others, and I will continue to do so. I would trust him with my closest family and lifelong friends. BEST DOCTOR EVER.

S.G.

Img16516

Hey! I am Dr. Wittig.

Myself and my amazing team are dedicated to saving your life and your limb. Losing a limb because of a tumor can be a terrifying experience. But, it does not have to be the only option. I’ve spent 20+ years as a Board-Certified Orthopedic Surgeon and Orthopedic Oncologist.

I’ve devoted my career to helping children and adults afflicted with bone and soft tissue masses by performing complex limb saving surgeries. Most patients can have their limb saved, which may require innovative techniques.

Patients afflicted with musculoskeletal tumors have complex conditions that are best taken care of at large hospitals. I am the Chairman of Orthopedics and Chief of Orthopedic Oncology at Morristown Medical Center. My philosophy is a multidisciplinary team approach, working together to tailor treatment to individual patients. Education and research are essential to my practice, providing the best setting for extraordinary patient care. Because of this, we have some of the top results in the country.