Liposarcoma

Liposarcoma is a malignant (cancerous) soft-tissue tumor that most commonly affects the extremities or the abdomen. They are the second most common soft-tissue sarcoma.



Liposarcoma
Screen Shot 2022 08 19 At 11.26.50 AM

What is a Liposarcoma?

Liposarcoma is a malignant (cancerous) tumor that occurs in soft-tissues, also referred to as a soft-tissue sarcoma. This soft-tissue sarcoma presents as a growing mass that may coincide with pain. Liposarcomas are commonly found in the soft-tissues of the extremities, particularly the thigh, or in the abdomen (retroperitoneum). Due to the malignant nature, liposarcomas have the potential to recur, or come back. There are several subcategories to liposarcoma, including: low-grade (well differentiated) liposarcoma, myxoid liposarcoma, round cell liposarcoma, dedifferentiated liposarcoma, and pleomorphic liposarcoma.

Who is usually affected?
Who is usually affected?
  • • Slightly more common in males.
  • • Can occur in any age group, but a majority of cases occur between the ages of 50-65. Rare in children.
  • • Slightly more common in individuals exposed to radiation, with a family history of cancer, damage to the lymphatic system, and long-term exposure to certain toxic chemicals, such as vinyl chloride.
Causes
Causes
  • • Aside from the uncontrollable growth of abnormal cells to create a fatty mass, there is no known cause.

 

 

 

Common Sites Involved
Common Sites Involved
  • • Lower extremities
  • • Upper extremities
  • • Abdomen
Signs and Symptoms
Signs and Symptoms
  • • Signs and symptoms may include pain, fever, chills, night sweats, weight loss, and/or fatigue. 
  • • A majority of patients present with a growing, fatty mass.
Biological Behavior
Biological Behavior
  • • Form due to mutations and abnormalities of fat cells that lead to uncontrollable growth.
  • • Soft-tissue sarcomas, such as liposarcomas, grow in the soft-tissues of the extremities and compromise or destroy the affected soft-tissue and muscles.

 

 

Diagnosis
Diagnosis
  • • The work-up for liposarcoma often consists of a physical examination, X-ray, MRI, CT, and bone scans. Also, a bone scan, CT PET scan, and CT chest/abdomen/pelvis may be ordered to check if the tumor has spread, or metastasized, to the chest/abdomen/ pelvis or other parts of the body. The diagnosis is often confirmed with a biopsy, which samples the tumor for further analysis.

Risk to your limbs

Liposarcoma is a malignant (cancerous) soft-tissue tumor. There are several subcategories to liposarcoma, including: low-grade (well differentiated) liposarcoma, myxoid liposarcoma, round cell liposarcoma, dedifferentiated liposarcoma, and pleomorphic liposarcoma. Soft-tissue sarcomas, such as liposarcomas, grow in the soft-tissues of the extremities and compromise or destroy the affected soft-tissue and muscles. These tumors can compress or stretch important vessels and nerves, and occasionally wrap around these structures making it difficult to remove the mass without an amputation. They also have the potential to invade adjacent bones. Without treatment, liposarcoma can metastasize or spread throughout the body, with the lungs, liver, and bones being the most common sites.

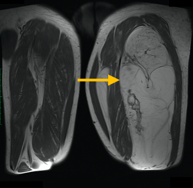
Radiographic imaging is used to help form a diagnosis of liposarcoma. These include X-Ray, MRI, CT and Bone Scans

An example of an MRI is shown.

Treatment of Liposarcoma

The treatment of liposarcoma includes surgical resection of the tumor through a limb-sparing surgery. While surgical intervention is common, the type of surgery and treatment depends on the location, size, and type of liposarcoma. Chemotherapy and radiation are also used as treatment. Without the proper and effective treatment, liposarcomas pose various risks. Liposarcomas can compromise or destroy the affected soft-tissue and muscles. These tumors can compress or stretch important vessels and nerves, and occasionally wrap around these structures making it difficult to remove the mass without an amputation. They have the potential to metastasize or spread throughout the body, with the lungs, liver, and bones being the most common sites.

I've seen many doctors and I can confidently attest Dr. Wittig is the preeminent orthopaedic specialist. He is genuinely kind and caring, as he demonstrated by completely addressing my concerns and compassionately relating to what I was dealing with. He clearly outlined the plan of attack, and recommended the two additional doctors who would become part of my 'team'. Dr. Wittig was so effective in allaying our fears and bringing us optimism. My surgery was significant, but I was up and walking the next day and back at the gym 5 weeks later. This is further testament to Dr. Wittig's skill. He saved my leg and my life, and I feel so very blessed to say he is my doctor. I have already recommended him to others, and I will continue to do so. I would trust him with my closest family and lifelong friends. BEST DOCTOR EVER.

S.G.

Img16516

Hey! I am Dr. Wittig.

Myself and my amazing team are dedicated to saving your life and your limb. Losing a limb because of a tumor can be a terrifying experience. But, it does not have to be the only option. I’ve spent 20+ years as a Board-Certified Orthopedic Surgeon and Orthopedic Oncologist.

I’ve devoted my career to helping children and adults afflicted with bone and soft tissue masses by performing complex limb saving surgeries. Most patients can have their limb saved, which may require innovative techniques.

Patients afflicted with musculoskeletal tumors have complex conditions that are best taken care of at large hospitals. I am the Chairman of Orthopedics and Chief of Orthopedic Oncology at Morristown Medical Center. My philosophy is a multidisciplinary team approach, working together to tailor treatment to individual patients. Education and research are essential to my practice, providing the best setting for extraordinary patient care. Because of this, we have some of the top results in the country.