Leiomyosarcoma

Primary leiomyosarcoma of bone is a rare type of malignant bone tumor. It most commonly occurs in the area behind the tissue that lines the abdomen (the retroperitoneum) and the pelvis. Leiomyosarcoma is also a malignant tumor than can occur in soft-tissue.



Leiomyosarcoma
Screen Shot 2022 08 19 At 11.26.50 AM

What is Leiomyosarcoma?

A primary leiomyosarcoma of bone is a rare malignant bone tumor. Leiomyosarcoma of soft-tissue is a rare malignant spindle cell tumor (sarcoma) composed of cells which demonstrate smooth muscle differentiation. This tumor is malignant, meaning if it isn’t treated or removed that it will have a high risk of spreading to other parts of the body, and may reoccur even after removal. Additionally, the prognosis will depend on grade, size and location of the tumor.

Who is usually affected?
Who is usually affected?
  • • Commonly affects young adults and children.
  • • Middle-age persons is typically the main group affected (40s to 50s).
  • • More common in women, except more common in men with it in subcutaneous tissue.
Signs and Symptoms
Signs and Symptoms
  • • A noticeable mass
  • • Pain, but the mass can also be painless
  • • Broken bone due to the tumor (called a pathological fracture)
  • • Usually do not develop symptoms until the mass grows more than 10 cm ( retroperitoneum)
Causes
Causes
  • • The cause of leiomyosarcoma is currently unknown.

 

 

 

 

Biological Behavior
Biological Behavior
  • • PLBs are rare malignant tumors.
  • • There is some risk of the tumor coming back (recurrence) after taking the tumor out.
  • • There is a higher rate of this tumor spreading to other parts of the body (metastasis).
  • • Tumors may be very aggressive and invade surrounding tissues with prolonged diagnosis and treatment.
Common Sites Involved
Common Sites Involved
  • • Leiomyosarcoma of bone and soft-tissue commonly occurs in:
  • • the retroperitoneal area (located behind the abdomen and peritoneum-organs
  • • the pelvis
  • • the femur
  • • the tibia 
Diagnosis
Diagnosis
  • • The work-up often consists of a physical examination, X-rays, CT scans, MRI, and sometimes bone scans are required.
  • • The diagnosis is often confirmed with a biopsy, which means taking a sample of tumor and having it analyzed under a microscope by a pathologist.

Risk to your limbs

Leiomyosarcoma of bone is a malignant growth that, if not treated, will damage your normal bone. The first signs of leiomyosarcoma are a noticeable mass with pain associated. Depending on the location and size, the bone may break due to the tumor (called a pathological fracture). Additionally, as a soft-tissue sarcoma, leiomyosarcoma grows in the soft-tissues of the extremities and can compromise or destroy the affected soft-tissue and muscles. These tumors can compress or stretch important vessels and nerves, and occasionally wrap around these structures making it difficult to remove the mass without an amputation. They also have the potential to invade adjacent bones. Without treatment, leiomyosarcoma can metastasize or spread throughout the body, with the lungs, liver, and bones being the most common sites.

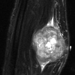
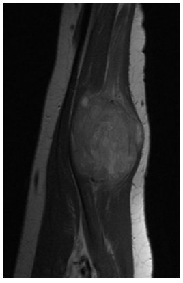
An example of an Leiomyosarcoma MRI is shown.

Treatment of

Leiomyosarcoma

The treatment of leiomyosarcoma of both bone and soft-tissue includes complete resection of the sarcoma through limb-sparing surgery, such as wide or radical resections. Chemotherapy may also be used. The treatment likely depends on the size, location, grade, and type of leiomyosarcoma. Low-grade leiomyosarcoma may be treated with limb-sparing surgery and occasionally cryosurgery & curettage. High-grade leiomyosarcoma may be treated with limb-sparing surgery, chemotherapy, and/or radiation.

I've seen many doctors and I can confidently attest Dr. Wittig is the preeminent orthopaedic specialist. He is genuinely kind and caring, as he demonstrated by completely addressing my concerns and compassionately relating to what I was dealing with. He clearly outlined the plan of attack, and recommended the two additional doctors who would become part of my 'team'. Dr. Wittig was so effective in allaying our fears and bringing us optimism. My surgery was significant, but I was up and walking the next day and back at the gym 5 weeks later. This is further testament to Dr. Wittig's skill. He saved my leg and my life, and I feel so very blessed to say he is my doctor. I have already recommended him to others, and I will continue to do so. I would trust him with my closest family and lifelong friends. BEST DOCTOR EVER.

S.G.

Img16516

Hey! I am Dr. Wittig.

Myself and my amazing team are dedicated to saving your life and your limb. Losing a limb because of a tumor can be a terrifying experience. But, it does not have to be the only option. I’ve spent 20+ years as a Board-Certified Orthopedic Surgeon and Orthopedic Oncologist.

I’ve devoted my career to helping children and adults afflicted with bone and soft tissue masses by performing complex limb saving surgeries. Most patients can have their limb saved, which may require innovative techniques.

Patients afflicted with musculoskeletal tumors have complex conditions that are best taken care of at large hospitals. I am the Chairman of Orthopedics and Chief of Orthopedic Oncology at Morristown Medical Center. My philosophy is a multidisciplinary team approach, working together to tailor treatment to individual patients. Education and research are essential to my practice, providing the best setting for extraordinary patient care. Because of this, we have some of the top results in the country.