Hemangiopericytoma

Hemangiopericytoma of the bone is a malignant tumor originating from the cells around tiny blood vessels called capillaries (called pericytes). It most commonly affects the pelvis, femur, spine, and humerus.

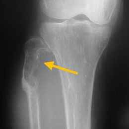
28A) AP XR Of Right Proximal Fibula Hemangiopericytoma (1)
Screen Shot 2022 08 19 At 11.26.50 AM

What is a Hemangiopericytoma?

Hemangiopericytoma of the bone is a tumor or neoplasm that comes from the cells present at the walls of capillaries (tiny blood vessels).

Who is usually affected?
Who is usually affected?
  • • There are no significant differences in gender and race.
  • • They are more common among middle-aged individuals than in infants and children.
  • • 40% of cases occur in ages 50 to 60.
Causes
Causes
  • • Can be due to the same chromosomal translocation as a Ewing's sarcoma which is a small round blue cell cancer. (t11;22 or EWS/FLI 1)
Signs and Symptoms
Signs and Symptoms
  • • Signs and symptoms include pain and swelling. 
  • • ⅓ of patients are symptomatic for more than one year.
Biological Behavior
Biological Behavior
  • • Exceedingly rare.
Common Bones Involved
Common Bones Involved
  • • Pelvis
  • • Femur
  • • Spine
  • • Humerus

 

 

 

 

Diagnosis
Diagnosis
  • • The work-up often consists of a physical examination, X-rays, CT scans, MRI, and sometimes bone scans are required. CT scans can be used to check for subtle mineralization that may help with the diagnosis
  • • CT of the chest is necessary to check for pulmonary metastases. The lungs and other bones are the to most common sites for the tumor to spread.
  • • The diagnosis is often confirmed with a biopsy, which means taking a sample of tumor and having it analyzed under a microscope by a pathologist.

Risk to your limbs

Hemangiopericytomas are cancerous aggressive tumors that, if left unchecked, will grow and destroy your normal bone. Clinically, local pain and swelling may be the first signs. As the tumor slowly grows, the bone is weakened and you are at an increased risk of breaking the bone due to the tumor (called a pathological fracture). They may also spread to your lungs or other bones.

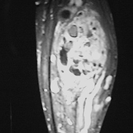
Radiographic imaging is used to help form a diagnosis. These include X-Ray, MRI, CT and Bone Scans

An example of an MRI is shown.

28B) Coronal MR Of Right Proximal Fibula Hemangiopericytoma

Treatment of

Hemangiopericytoma

Due to its rarity, there are no guidelines for its optimal treatment. Treatment should be aggressive and individualized. Treatment usually involves surgical removal and chemotherapy. Most patients are treated with a combination of surgery and chemotherapy. Most common treatment is wide radical limb sparing surgery. There are two kinds: round cell variation and hemangiopericytoma-like variation. Treatment for round cell variation includes a combination of chemotherapy, radiation and wide surgical resection. And for hemangiopericytoma-like variation includes chemotherapy and wide surgical resection only without radiation. 

Intralesional Curettage
Intralesional Curettage

Intralesional Curettage means to scoop the tumor out using a spoon-like tool called a curette. This is a surgery that aims to remove the mass and restore the bone so that the patient can get back to normal function. The lesion is identified within the bone and scooped, or curetted, out. The cavity is then shaved down with a Midas Rex Drill, which is similar to a dental drill. This drill removes more tumor cells.

Bone Grafting and Fixation
Bone Grafting and Fixation

The empty bone cavity is usually filled with bone graft or bone cement. Bone can be donated (allograft) or taken from the patient themselves (autograft). Fixation devices, such as a plate and screws, may be used in specific situations to prevent postoperative fracture.

I've seen many doctors and I can confidently attest Dr. Wittig is the preeminent orthopaedic specialist. He is genuinely kind and caring, as he demonstrated by completely addressing my concerns and compassionately relating to what I was dealing with. He clearly outlined the plan of attack, and recommended the two additional doctors who would become part of my 'team'. Dr. Wittig was so effective in allaying our fears and bringing us optimism. My surgery was significant, but I was up and walking the next day and back at the gym 5 weeks later. This is further testament to Dr. Wittig's skill. He saved my leg and my life, and I feel so very blessed to say he is my doctor. I have already recommended him to others, and I will continue to do so. I would trust him with my closest family and lifelong friends. BEST DOCTOR EVER.

S.G.

Img16516

Hey! I am Dr. Wittig.

Myself and my amazing team are dedicated to saving your life and your limb. Losing a limb because of a tumor can be a terrifying experience. But, it does not have to be the only option. I’ve spent 20+ years as a Board-Certified Orthopedic Surgeon and Orthopedic Oncologist.

I’ve devoted my career to helping children and adults afflicted with bone and soft tissue masses by performing complex limb saving surgeries. Most patients can have their limb saved, which may require innovative techniques.

Patients afflicted with musculoskeletal tumors have complex conditions that are best taken care of at large hospitals. I am the Chairman of Orthopedics and Chief of Orthopedic Oncology at Morristown Medical Center. My philosophy is a multidisciplinary team approach, working together to tailor treatment to individual patients. Education and research are essential to my practice, providing the best setting for extraordinary patient care. Because of this, we have some of the top results in the country.