Giant Cell Tumor of Bone

Giant Cell Tumors of Bone are benign but aggressive tumors that destroy bones and can invade soft tissues. They most commonly affect the femur, tibia, radius, sacrum and skull. 

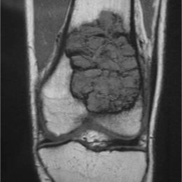
Giant Cell Tumor
Screen Shot 2022 10 05 At 4.26.50 PM

What is a Giant Cell Tumor?

Giant Cell Tumors are a benign yet aggressive bone tumor or neoplasm. It is benign but aggressive, and if not removed, will grow and destroy the bone. Many, but not all, are caused by a genetic mutation. 

Who is usually affected?
Who is usually affected?
  • • Most commonly affects patients older than 19 years of age.
  • • 85% of cases are in patients older than 19 years of age.
  • • Most common in the third decade of life (20-40 years).
  • • Women are more commonly affected.
Causes
Causes
  • • The cause may be due to a mutation in the H3F3A gene which is present in of 90% of GCTs.
  • • RANKL is also highly expressed in the cells of a Giant Cell Tumor, and is the target for most therapies.
Common Bones Involved
Common Bones Involved
  • • Femur
  • • Tibia
  • • Radius
  • • Sacrum
  • • Skull
Signs and Symptoms
Signs and Symptoms
  • • Pain.
  • • Tender mass in the region of the affected bone.
  • • Sometimes muscle wasting away due to disuse.
  • • Weakness of the affected extremity.
  • • Bone breakage (pathological fracture).
Biological Behavior
Biological Behavior
  • • Giant Cell Tumors are benign aggressive tumors that destroy bone and invade soft tissues.
  • • There is high risk of the tumor coming back (recurrence).
  • • Despite being benign, on rare occasions the GCT can metastasize to the lungs and involve multiple different bones.
Diagnosis
Diagnosis
  • • The work-up often consists of a physical examination, X-rays, CT scans, MRI, and sometimes bone scans are required. 
  • • The diagnosis is often confirmed with a biopsy, which means taking a sample of tumor and having it analyzed under a microscope by a pathologist.

Risk to your limbs

Giant Cell Tumors are benign aggressive tumors that, if left unchecked, will grow and destroy normal bone and invade soft tissue. As the tumor grows, the bone is weakened and you are at an increased risk of breaking the bone due to the tumor (called a pathological fracture).

Radiographic imaging is used to help form a diagnosis. These include X-Ray, MRI, CT and Bone Scans

An example of a Giant Cell Tumor X-Ray is shown.

Giant Cell Tumor

Treatment of

Giant Cell Tumor of Bone

The surgery we use to treat this condition is known as  an extensive curettage resection, cryotherapy, and bone grafting and fixation. Curettage means to scoop the tumor out using a spoon-like tool called a curette. This is a surgery that aims to remove the mass and restore the bone so that the patient can get back to normal function.

Intralesional Curettage
Intralesional Curettage

Intralesional Curettage means to scoop the tumor out using a spoon-like tool called a curette. This is a surgery that aims to remove the mass and restore the bone so that the patient can get back to normal function. The ABC is identified within the bone and scooped, or curetted, out. The cavity is then shaved down with a Midas Rex Drill, which is similar to a dental drill. This drill removes more tumor cells.

Bone Grafting and Fixation
Bone Grafting and Fixation

The empty bone cavity is usually filled with bone graft or bone cement. Bone can be donated (allograft) or taken from the patient themselves (autograft). Fixation devices, such as a plate and screws, may be used in specific situations to prevent postoperative fracture. 

I've seen many doctors and I can confidently attest Dr. Wittig is the preeminent orthopaedic specialist. He is genuinely kind and caring, as he demonstrated by completely addressing my concerns and compassionately relating to what I was dealing with. He clearly outlined the plan of attack, and recommended the two additional doctors who would become part of my 'team'. Dr. Wittig was so effective in allaying our fears and bringing us optimism. My surgery was significant, but I was up and walking the next day and back at the gym 5 weeks later. This is further testament to Dr. Wittig's skill. He saved my leg and my life, and I feel so very blessed to say he is my doctor. I have already recommended him to others, and I will continue to do so. I would trust him with my closest family and lifelong friends. BEST DOCTOR EVER.

S.G.

Img16516

Hey! I am Dr. Wittig.

Myself and my amazing team are dedicated to saving your life and your limb. Losing a limb because of a tumor can be a terrifying experience. But, it does not have to be the only option. I’ve spent 20+ years as a Board-Certified Orthopedic Surgeon and Orthopedic Oncologist.

I’ve devoted my career to helping children and adults afflicted with bone and soft tissue masses by performing complex limb saving surgeries. Most patients can have their limb saved, which may require innovative techniques.

Patients afflicted with musculoskeletal tumors have complex conditions that are best taken care of at large hospitals. I am the Chairman of Orthopedics and Chief of Orthopedic Oncology at Morristown Medical Center. My philosophy is a multidisciplinary team approach, working together to tailor treatment to individual patients. Education and research are essential to my practice, providing the best setting for extraordinary patient care. Because of this, we have some of the top results in the country.