Screen Shot 2022 08 19 At 11.26.50 AM

What is a Fibrosarcoma?

Who is usually affected?
Who is usually affected?
  • • There is a wide distribution of 5-70 years of age.
  • • The majority of cases occur between 15 to 40 years of age.
Causes
Causes
  • • Can be due to the same chromosomal translocation as a Ewing's sarcoma which is a small round blue cell cancer. (t11;22 or EWS/FLI 1)
Common Bones Involved
Common Bones Involved
  • • Lower extremity
  • • Femur
  • • Ribs
  • • Jaw
  • • Pelvis
  • • Can metastasize to lungs, liver, lymph nodes and other bones.
Signs and Symptoms
Signs and Symptoms
  • • Signs and symptoms include pain and swelling. 
  • • ⅓ of patients are symptomatic for more than one year.
Biological Behavior
Biological Behavior
  • • Are malignant (cancerous) cartilage tumors that destroy bone, adjacent joints and spread into the surrounding muscles. 
  • • It consists of cartilage tissue mixed with small round blue cells similar to a Ewing sarcoma.
  • • Rare and deadly form of chondrosarcoma.
  • • The five year survival rate is 55-65% and the ten year survival rate is 27%.
Diagnosis
Diagnosis
  • • The work-up often consists of a physical examination, X-rays, CT scans, MRI, and sometimes bone scans are required. CT scans can be used to check for subtle mineralization that may help with the diagnosis
  • • CT of the chest is necessary to check for pulmonary metastases. The lungs and other bones are the to most common sites for the tumor to spread.
  • • The diagnosis is often confirmed with a biopsy, which means taking a sample of tumor and having it analyzed under a microscope by a pathologist.

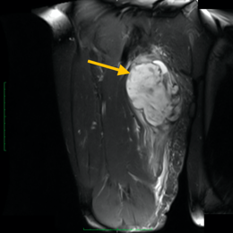
Risk to your limbs

Conventional Chondrosarcomas (CCs) are cancerous aggressive tumors that, if left unchecked, will grow and destroy your normal bone. Clinically, local pain and swelling may be the first signs of a growing CC. As the tumor slowly grows, the bone is weakened and you are at an increased risk of breaking the bone due to the tumor (called a pathological fracture), which is often the first sign of an CC. They may also spread to your lungs or other bones.

Radiographic imaging is used to help form a diagnosis of CCs. These include X-Ray, MRI, CT and Bone Scans

An example of an CC MRI is shown.

Osteosarcoma Conventional1

Treatment of

Fibrosarcoma

Intralesional Curettage
Intralesional Curettage

Intralesional Curettage means to scoop the tumor out using a spoon-like tool called a curette. This is a surgery that aims to remove the mass and restore the bone so that the patient can get back to normal function. The ABC is identified within the bone and scooped, or curetted, out. The cavity is then shaved down with a Midas Rex Drill, which is similar to a dental drill. This drill removes more tumor cells.

Cryosurgery
Cryosurgery

It is a specialized technique that only a handful of surgeons in the country know how to perform. Once the tumor is removed, liquid nitrogen may be poured into the bone cavity to freeze the area to sub zero temperatures in order to kill microscopic tumor cells. This reduces the chances of the tumor coming back to less than 5%. Warm fluid is also used to prevent normal tissues from freezing.

Bone Grafting and Fixation
Bone Grafting and Fixation

The empty bone cavity is usually filled with bone graft or bone cement. Bone can be donated (allograft) or taken from the patient themselves (autograft). Fixation devices, such as a plate and screws, may be used in specific situations to prevent postoperative fracture. This example of an X-ray shows the bone graft filled in nicely. It looks particulate. In this case, the patient was placed in a cast to protect from fracture and allow the graft to heal.

I've seen many doctors and I can confidently attest Dr. Wittig is the preeminent orthopaedic specialist. He is genuinely kind and caring, as he demonstrated by completely addressing my concerns and compassionately relating to what I was dealing with. He clearly outlined the plan of attack, and recommended the two additional doctors who would become part of my 'team'. Dr. Wittig was so effective in allaying our fears and bringing us optimism. My surgery was significant, but I was up and walking the next day and back at the gym 5 weeks later. This is further testament to Dr. Wittig's skill. He saved my leg and my life, and I feel so very blessed to say he is my doctor. I have already recommended him to others, and I will continue to do so. I would trust him with my closest family and lifelong friends. BEST DOCTOR EVER.

S.G.

Img16516

Hey! I am Dr. Wittig.

Myself and my amazing team are dedicated to saving your life and your limb. Losing a limb because of a tumor can be a terrifying experience. But, it does not have to be the only option. I’ve spent 20+ years as a Board-Certified Orthopedic Surgeon and Orthopedic Oncologist.

I’ve devoted my career to helping children and adults afflicted with bone and soft tissue masses by performing complex limb saving surgeries. Most patients can have their limb saved, which may require innovative techniques.

Patients afflicted with musculoskeletal tumors have complex conditions that are best taken care of at large hospitals. I am the Chairman of Orthopedics and Chief of Orthopedic Oncology at Morristown Medical Center. My philosophy is a multidisciplinary team approach, working together to tailor treatment to individual patients. Education and research are essential to my practice, providing the best setting for extraordinary patient care. Because of this, we have some of the top results in the country.