Ewing's Sarcoma

Ewing sarcoma is malignant (cancerous) aggressive tumor that arises directly from the bone. It most commonly affects the femur, tibia, and humerus, frequently in children and adolescents. Treatment includes a combination of chemotherapy and surgery.

Ewing5
Screen Shot 2022 08 19 At 11.26.50 AM

What is Ewing's Sarcoma?

Ewing's Sarcoma is a small round blue cell sarcoma (cancerous tumor). It is a childhood sarcoma, as a high percentage of cases occur within the first two decades. It is the fourth most common primary malignancy of bone and accounts for approximately 5% of all biopsied tumors. Although Ewing's Sarcoma can occur in any bone, the most common site is long bones (e.g. humerus, radius, ulna, femur, tibia, fibula) with the femur being the most common site. Ewing's Sarcoma is cancerous and has the potential to metastasize, or spread, to other areas of the body if not treated.

Who is usually affected?
Who is usually affected?
  • • Slight male predominance (1.5:1)
  • • Most cases occur between 10-25 years of age (median age 13)
  • • Uncommon in African Americans

 

 

Biological Behavior
Biological Behavior
  • • Ewing's Sarcoma is one of the most aggressive, malignant (cancerous) tumors.
  • • Uniform, monotonous, small round blue cell tumor with minimal production of matrix.
  • • High probability for local recurrences.
  • • Noted for its lack of immunologic staining.
Causes
Causes
  • • There is no known cause of Ewing's Sarcoma, however most Ewing's Sarcoma cases (85%) are associated with a characteristic chromosomal translocation t(11;22)(q24;q12) that results in EWS/FLI-1 chimeric protein. 
  • • Ewing's Sarcoma is not passed down to children (non-hereditary).
Signs and Symptoms
Signs and Symptoms
  • • A majority of patients present with a mass and with localized pain
  • • Increased sedimentation rate, fever, anemia, malaise may occur and are usually indicative of metastatic disease.
  • • 10% of patients present with multiple bony lesions.
  • • May have elevated LDH.
Common Bones Involved
Common Bones Involved
  • • The femur is the most commonly affected bone
  • • Long bones (e.g. femur, humerus, tibia)
  • • Flat bones (e.g. occipital, parietal, frontal, sternum, ribs)
  • • Pelvis
  • • Ribs
Diagnosis
Diagnosis
  • • The work-up for Ewing's Sarcoma often consists of a physical examination, X-rays, CT scans, or MRI of the effected bone. A Whole Body Bone Scan may be ordered to determine if the tumor metastasized, or spread.
  • • The diagnosis is often confirmed with a biopsy.

Risk to your limbs

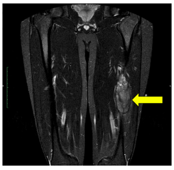
Ewing's Sarcoma is an aggressive, cancerous (malignant) tumor that, if left unchecked, will grow and destroy the normal bone. Clinically, they manifest as localized pain (usually worse at night), fever, and swelling. The affected area may be tender and warm. Patients may also notice night sweats and weight loss. Early and effective treatment is essential, as Ewing's Sarcoma also has the ability to spread to other parts of the body, known as metastasis. Advanced imaging, such as whole body bone scans and CT of the chest/abdomen/pelvis, are used to check if the cancer has spread, or metastasized, throughout the body.

An example of an MRI depicting Ewing's sarcoma in the lower extremity is shown.

Ewing's MR

Treatment of Ewing's Sarcoma

The treatment for Ewing's Sarcoma involves a multifocal approach, consisting of chemotherapy and surgical resection or removal of the cancer. Ewing's Sarcoma is very responsive to chemotherapy. Several cycles of chemotherapy are given before surgery (preoperatively) and again after surgery (post-operatively). Preoperatively, chemotherapy is used to reduce the size of the tumor. Post-operatively, chemotherapy is used to lower the risk of the cancer coming back (recurrence). The surgical procedure commonly used to treat Ewing's Sarcoma is a radical resection and reconstruction.

Surgery
Surgery

Surgical treatment includes wide or radical resections to remove the complete tumor and additional margins. The removal of additional, surrounding margins ensures that the tumor is completely removed and decreases the chances of the tumor coming back. Common surgical procedures are:

Expandable Prothesis
Expandable Prothesis

Once the tumor and margins have been removed, reconstruction with a prosthesis is performed. Since Ewing's Sarcoma is a childhood sarcoma, a special, customized, expandable prothesis may be used, which allows the prosthesis to "grow" with the child. The patient may return to the office, where the prosthesis can be lengthened using a magnet without any pain. 

I've seen many doctors and I can confidently attest Dr. Wittig is the preeminent orthopaedic specialist. He is genuinely kind and caring, as he demonstrated by completely addressing my concerns and compassionately relating to what I was dealing with. He clearly outlined the plan of attack, and recommended the two additional doctors who would become part of my 'team'. Dr. Wittig was so effective in allaying our fears and bringing us optimism. My surgery was significant, but I was up and walking the next day and back at the gym 5 weeks later. This is further testament to Dr. Wittig's skill. He saved my leg and my life, and I feel so very blessed to say he is my doctor. I have already recommended him to others, and I will continue to do so. I would trust him with my closest family and lifelong friends. BEST DOCTOR EVER.

S.G.

Img16516

Hey! I am Dr. Wittig.

Myself and my amazing team are dedicated to saving your life and your limb. Losing a limb because of a tumor can be a terrifying experience. But, it does not have to be the only option. I’ve spent 20+ years as a Board-Certified Orthopedic Surgeon and Orthopedic Oncologist.

I’ve devoted my career to helping children and adults afflicted with bone and soft tissue masses by performing complex limb saving surgeries. Most patients can have their limb saved, which may require innovative techniques.

Patients afflicted with musculoskeletal tumors have complex conditions that are best taken care of at large hospitals. I am the Chairman of Orthopedics and Chief of Orthopedic Oncology at Morristown Medical Center. My philosophy is a multidisciplinary team approach, working together to tailor treatment to individual patients. Education and research are essential to my practice, providing the best setting for extraordinary patient care. Because of this, we have some of the top results in the country.