Enchondroma

Enchondromas are benign tumors that may weaken the bone. They most commonly affect the hands and feet, with the humerus and femur being common larger bones.



Enchondroma15
Screen Shot 2022 08 19 At 11.26.50 AM

What is an Enchondroma?

Bones grow from a cartilaginous growth plate that gradually lengthens and turns into bone as it lengthens.  An enchondroma is a benign bone tumor or neoplasm that can be thought of as an island of cartilage within the bone that never turned into normal bone. This type of tumor is usually found incidentally due to injury, as this tumor may weaken the bones and predispose them to fracture.

Who is usually affected?
Who is usually affected?
  • • There is a wide distribution of 5-70 years of age.
  • • The majority of cases occur between 15 to 40 years of age.
  • • Men and women are equally affected.
Causes
Causes
  • • The exact cause of enchondromas is unknown, Enchondromas are not passed down to your children (non-hereditary).
Common Bones Involved
Common Bones Involved
  • • Hands
  • • Feet
  • • Humerus
  • • Femur
Signs and Symptoms
Signs and Symptoms
  • • Depends on the location.
  • • Bones in the fingers may be painful due to stress fractures.
  • • Enchondromas found in the long bones (femur, humerus) are found incidentally as no symptoms are usually experienced.
Biological Behavior
Biological Behavior
  • • Enchondromas are benign tumors that do not grow (indolent).
  • • There is very minimal risk of the tumor coming back once removed and if recurrence does occur it will be considered cancerous.
  • • Rarely, enchondromas can transform into a cancerous (malignant) tumor.
Diagnosis
Diagnosis
  • • The work-up often consists of a physical examination, X-rays, CT scans, MRI, and sometimes bone scans are required.
  • • The diagnosis is often confirmed with a biopsy, which means taking a sample of tumor and having it analyzed under a microscope by a pathologist.

Risk to your limbs

Enchondromas are benign tumors that may weaken the bone primarily in the hands and feet, leading to the bone breaking (called a pathological fracture).

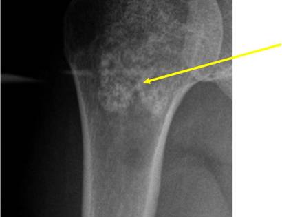
Radiographic imaging is used to help form a diagnosis. These include X-Ray, MRI, CT and Bone Scans

An example of an enchondroma X-Ray is shown.

Treatment of

Enchondroma

If there is a chance of pathological fracture or a pathological fracture already occurred, the surgery used to treat this condition is known as intralesional curettage and bone grafting.

Intralesional Curettage
Intralesional Curettage

Intralesional Curettage means to scoop the tumor out using a spoon-like tool called a curette. This is a surgery that aims to remove the mass and restore the bone so that the patient can get back to normal function. The enchondroma is identified within the bone and scooped, or curetted, out. The cavity is then shaved down with a Midas Rex Drill, which is similar to a dental drill. This drill removes more tumor cells.

Bone Grafting and Fixation
Bone Grafting and Fixation

The empty bone cavity is usually filled with bone graft or bone cement. Bone can be donated (allograft) or taken from the patient themselves (autograft). Fixation devices, such as a plate and screws, may be used in specific situations to prevent postoperative fracture. This example of an X-ray shows the bone graft filled in nicely. It looks particulate. In this case, the patient was placed in a cast to protect from fracture and allow the graft to heal.

I've seen many doctors and I can confidently attest Dr. Wittig is the preeminent orthopaedic specialist. He is genuinely kind and caring, as he demonstrated by completely addressing my concerns and compassionately relating to what I was dealing with. He clearly outlined the plan of attack, and recommended the two additional doctors who would become part of my 'team'. Dr. Wittig was so effective in allaying our fears and bringing us optimism. My surgery was significant, but I was up and walking the next day and back at the gym 5 weeks later. This is further testament to Dr. Wittig's skill. He saved my leg and my life, and I feel so very blessed to say he is my doctor. I have already recommended him to others, and I will continue to do so. I would trust him with my closest family and lifelong friends. BEST DOCTOR EVER.

S.G.

Img16516

Hey! I am Dr. Wittig.

Myself and my amazing team are dedicated to saving your life and your limb. Losing a limb because of a tumor can be a terrifying experience. But, it does not have to be the only option. I’ve spent 20+ years as a Board-Certified Orthopedic Surgeon and Orthopedic Oncologist.

I’ve devoted my career to helping children and adults afflicted with bone and soft tissue masses by performing complex limb saving surgeries. Most patients can have their limb saved, which may require innovative techniques.

Patients afflicted with musculoskeletal tumors have complex conditions that are best taken care of at large hospitals. I am the Chairman of Orthopedics and Chief of Orthopedic Oncology at Morristown Medical Center. My philosophy is a multidisciplinary team approach, working together to tailor treatment to individual patients. Education and research are essential to my practice, providing the best setting for extraordinary patient care. Because of this, we have some of the top results in the country.