Telangiectatic Osteosarcoma

Telangiectatic Osteosarcoma is a cancerous bone tumor that produces bone. This type of tumor occurs primarily in the bone of the femur, and humerus.

Telangiectatic Osteosarcoma
Screen Shot 2022 08 19 At 11.26.50 AM

What is a Telangiectatic Osteosarcoma?

A Telangiectatic Osteosarcoma is a cancerous bone tumor. It comes from within the bone (intramedullary). It is known as a “bag of blood” because a sac of tissue called a cyst forms filled with blood clots. It is a cancerous tumor, and can lead to bone destruction. It is a slow growing tumor that will not spread to other parts of the body in most cases.

Causes
Causes
  • • The exact cause is unknown. However, there is reason to believe that it can be passed down to your children (heritable).
Common Bones Involved
Common Bones Involved
  • • Femur, Humerus, Tibia
Signs and Symptoms
Signs and Symptoms
  • • Local swelling and bone or joint pain.
  • • Pain may worsen with activity.
  • • Decreased motion.
  • • A potential noticeable lump or mass.
Who is usually affected?
Who is usually affected?
  • • Primarily seen in adults.
  • • There is a higher prevalence in women.
  • • Most cases occur between 15 and 20 years old.
Biological Behavior
Biological Behavior
  • • Telangiectatic Osteosarcomas are malignant (cancerous) tumors that destroy bone.
  • • They present as a membranous sac called a cyst with blood clots inside.
  • • They are typically slow-growing.
  • • There is a moderate risk of recurrence after removal (resection) of the tumor.

 

 

Diagnosis
Diagnosis
  • • The work-up often consists of a physical examination, X-rays, CT scans, MRI, and sometimes bone scans are required. CT scans can be used to check for subtle mineralization that may help with the diagnosis
  • • CT of the chest is necessary to check for pulmonary metastases. The lungs and other bones are the to most common sites for the tumor to spread.
  • • The diagnosis is often confirmed with a biopsy, which means taking a sample of tumor and having it analyzed under a microscope by a pathologist.

Risk to your limbs

Telangiectatic Osteosarcomas are cancerous aggressive tumors that, if left unchecked, will grow and destroy your normal bone. Clinically, local pain and swelling may be the first signs. As the tumor slowly grows, the bone is weakened and you are at an increased risk of breaking the bone due to the tumor (called a pathological fracture).

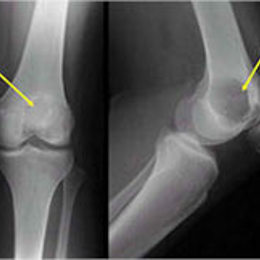
Radiographic imaging is used to help form a diagnosis. These include X-Ray, MRI, CT and Bone Scans

An example of an X-ray is shown.

Hero 96911

Treatment of

Telangiectatic Osteosarcoma

The form of treatment depends on the grade (how abnormal the cancer cells and tumor tissue are) of the TO. The primary form of treatment is surgical removal (wide excision). This is a surgery that aims to remove the mass so that the patient can get back to normal function. Depending on whether the tumor is slow-growing (low-grade) or fast-growing (high-grade), chemotherapy may need to be considered prior to surgery.

Limb Sparing Surgery
Limb Sparing Surgery

The removal of a tumor from a limb without having to remove the limb itself. The tumor will be removed and samples of tissue will be checked by a pathologist to ensure that only healthy tissue is left after removal. Reconstruction of weight-bearing bones is then undergone using bones from another individual (allograft) or their own (autograft). Once the bone graft is placed, the graft will grow into the original bone and heal. Rejection of a bone graft is rare as the bone itself is inactive.



MRI of a Telangiectatic Osteosarcoma
MRI of a Telangiectatic Osteosarcoma

I've seen many doctors and I can confidently attest Dr. Wittig is the preeminent orthopaedic specialist. He is genuinely kind and caring, as he demonstrated by completely addressing my concerns and compassionately relating to what I was dealing with. He clearly outlined the plan of attack, and recommended the two additional doctors who would become part of my 'team'. Dr. Wittig was so effective in allaying our fears and bringing us optimism. My surgery was significant, but I was up and walking the next day and back at the gym 5 weeks later. This is further testament to Dr. Wittig's skill. He saved my leg and my life, and I feel so very blessed to say he is my doctor. I have already recommended him to others, and I will continue to do so. I would trust him with my closest family and lifelong friends. BEST DOCTOR EVER.

S.G.

Img16516

Hey! I am Dr. Wittig.

Myself and my amazing team are dedicated to saving your life and your limb. Losing a limb because of a tumor can be a terrifying experience. But, it does not have to be the only option. I’ve spent 20+ years as a Board-Certified Orthopedic Surgeon and Orthopedic Oncologist.

I’ve devoted my career to helping children and adults afflicted with bone and soft tissue masses by performing complex limb saving surgeries. Most patients can have their limb saved, which may require innovative techniques.

Patients afflicted with musculoskeletal tumors have complex conditions that are best taken care of at large hospitals. I am the Chairman of Orthopedics and Chief of Orthopedic Oncology at Morristown Medical Center. My philosophy is a multidisciplinary team approach, working together to tailor treatment to individual patients. Education and research are essential to my practice, providing the best setting for extraordinary patient care. Because of this, we have some of the top results in the country.