Parosteal Osteosarcoma

A low-grade sarcoma (cancerous; malignant) lesion that occurs on the surface of long bones and arises from the outer layer of the periosteum.The periosteum is the coating on the surface of the bone.



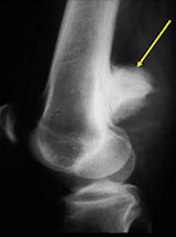
Parosteal Sarcoma1
Screen Shot 2022 08 19 At 11.26.50 AM

What is a Parosteal Osteosarcoma?

Who is usually affected?
Who is usually affected?
  • • Most common in early adulthood and middle age, 20-40 years old. 
  • • Affects females more than males. 2:1 sex ratio. 
Causes
Causes
  • • The exact cause of osteosarcoma is not known, but it is believed to be due to DNA mutations inside bone cells.
Common Bones Involved
Common Bones Involved
  • • Most common sites include femur, tibia and humerus. 
  • • 80% of cases occur in the femur and most on the back surface of the femur (thigh bone near the knee).
Signs and Symptoms
Signs and Symptoms
  • • Signs and symptoms include a painless, slowly growing mass. It usually exists for several years. If the mass is large and on the back of the femur an inability to bend the knee is seen. 
Biological Behavior
Biological Behavior
  • • Low risk of spreading (metastasizing). Approximately a 10 percent risk of spreading. 
  • • Some tumors dedifferentiate and can become more aggressive with a higher risk of spreading to the lungs and other bones. Parosteal osteosarcomas that back invade into the canal of the bone are usually higher grade and have higher risk of spreading.

 

 

Diagnosis
Diagnosis
  • • The work-up often consists of a physical examination, X-ray, MRI, and CT scans. 
  • • CT of the chest is necessary to check for pulmonary metastases. The lungs and other bones are the to most common sites for the tumor to spread.
  • • The diagnosis is often confirmed with a biopsy, which means taking a sample of tumor and having it analyzed under a microscope by a pathologist.

Risk to your limbs

Parosteal Osteosarcomas are cancerous  tumors that, if left unchecked, will grow and destroy your normal bone. As the tumor slowly grows, the bone is weakened and you are at an increased risk of breaking the bone due to the tumor (called a pathological fracture). They may also spread to your lungs or other bones.

Radiographic imaging is used to help form a diagnosis. These include X-Ray, MRI, CT. 

An example of an MRI is shown.

Parosteal2

Treatment of

Parosteal Osteosarcoma

Most commonly be treated with limb-saving surgical resection, with wide margins and reconstruction with a prosthesis depending on exact location and size without chemotherapy or radiation. Excellent prognosis with 80-95% long term survival (approximately 90% of patients are cured with surgery alone). High grade tumors like those that dedifferentiate may need chemotherapy in addition.

Limb Sparing Surgery
Limb Sparing Surgery

The removal of a tumor from a limb without having to remove the limb itself. The tumor will be removed and samples of tissue will be checked by a pathologist to ensure that only healthy tissue is left after removal. Skeletal reconstruction is done with a metal prosthesis.

Diagram and X-Ray of Prosthesis Inserted
Diagram and X-Ray of Prosthesis Inserted
Photo of Metal Prosthesis
Photo of Metal Prosthesis

I've seen many doctors and I can confidently attest Dr. Wittig is the preeminent orthopaedic specialist. He is genuinely kind and caring, as he demonstrated by completely addressing my concerns and compassionately relating to what I was dealing with. He clearly outlined the plan of attack, and recommended the two additional doctors who would become part of my 'team'. Dr. Wittig was so effective in allaying our fears and bringing us optimism. My surgery was significant, but I was up and walking the next day and back at the gym 5 weeks later. This is further testament to Dr. Wittig's skill. He saved my leg and my life, and I feel so very blessed to say he is my doctor. I have already recommended him to others, and I will continue to do so. I would trust him with my closest family and lifelong friends. BEST DOCTOR EVER.

S.G.

Img16516

Hey! I am Dr. Wittig.

Myself and my amazing team are dedicated to saving your life and your limb. Losing a limb because of a tumor can be a terrifying experience. But, it does not have to be the only option. I’ve spent 20+ years as a Board-Certified Orthopedic Surgeon and Orthopedic Oncologist.

I’ve devoted my career to helping children and adults afflicted with bone and soft tissue masses by performing complex limb saving surgeries. Most patients can have their limb saved, which may require innovative techniques.

Patients afflicted with musculoskeletal tumors have complex conditions that are best taken care of at large hospitals. I am the Chairman of Orthopedics and Chief of Orthopedic Oncology at Morristown Medical Center. My philosophy is a multidisciplinary team approach, working together to tailor treatment to individual patients. Education and research are essential to my practice, providing the best setting for extraordinary patient care. Because of this, we have some of the top results in the country.