Low-Grade Intraosseous Osteosarcoma

Low-Grade Intraosseous Osteosarcoma is a malignant, or cancerous, bone tumor that most commonly affects the long bones.  It is a type of bone sarcoma and one of the rare types of osteosarcomas.






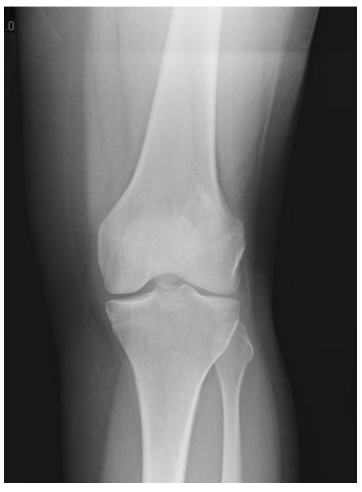
Intraosseous Osteosarcoma Xr
Screen Shot 2022 08 19 At 11.26.50 AM

What is Low-Grade Intraosseous Osteosarcoma?

Low-grade intraosseous osteosarcoma is a malignant, or cancerous, bone tumor that most commonly affects the long bones. Low-grade means that it is relatively slow growing, rarely spreads to other sites and is not treated with chemotherapy or radiation in comparison to the standard high grade type of osteosarcoma. Most of the cells look very similar to normal cells under the microscope and indicates that the tumor is slow-growing. Low-grade intraosseous osteosarcoma may be misdiagnosed for fibrous dysplasia, low-grade fibrosarcomas, parosteal osteosarcoma, or other benign lucent lesions such as osteoblastoma, chondroblastoma, giant cell tumor and non ossifying fibroma depending on location because biopsy of the tissue can all look similar under a microscope.

Who is usually affected?
Who is usually affected?
  • • Equally common in males and females.
  • • The majority of cases occur between 20-30 years of age.
Causes
Causes
  • • The cause of low-grade intraosseous osteosarcoma is not known.
Common Bones Involved
Common Bones Involved
  • • Most commonly occurs in long bones (femur, tibia, fibula, humerus, radius, ulna, etc.).
  • • Tumors most commonly arise around the knee.
  • • Can metastasize to lungs, liver, and other bones.
Signs and Symptoms
Signs and Symptoms
  • • Signs and symptoms include pain and swelling.
  • • Some patients present with a palpable mass.
Biological Behavior
Biological Behavior
  • • Slow-growing bone sarcoma. 
  • • Without the proper and effective treatment, it can destroy the bone that it grows from, cause a pathological fracture, and lead to the loss of the limb.
  • • Metastasis is rare, however if it spreads it usually spreads to the lungs (most common site) or to other bones (second most common site).
Diagnosis
Diagnosis
  • • The work-up for Low-Grade Intraosseous Osteosarcoma often consists of a physical examination, X-ray, MRI, and CT scans. A chest CT is performed to evaluate whether the cancer has spread to the lungs. CT PET scans and other bone scans may also be performed to determine the local extent of cancer in the bone and whether the cancer has spread to other parts of the body. The diagnosis is often confirmed with a biopsy, which samples the tumor for further analysis.

Risk to your limbs

Low-grade intraosseous osteosarcoma is a cancerous bone sarcoma. There are several risks associated with this bone sarcoma, including the risk of metastasis, pathological fracture, and the loss of a limb. Proper and effective treatment is necessary, because without treatment the sarcoma may destroy the bone and/or result in a pathological fracture. Additionally, the sarcoma may continue to grow to a large size and require an amputation. And lastly, it an spread to the lungs or other bones if not treated. 

Differential diagnoses include fibrous dysplasia, low-grade fibrosarcomas, parosteal osteosarcoma, or other benign lucent lesions such as osteoblastoma, chondroblastoma, giant cell tumor and non ossifying fibroma depending on location. Therefore, radiographic imaging is used to help form a diagnosis. These include X-Ray, MRI, CT and Bone Scans

An example of an MRI is shown.

MRI Itraosseous Osteosarcoma

Treatment of Low-Grade Intraosseous Osteosarcoma

Due to the potential metastasis and risks associated with low-grade intraosseous osteosarcoma, treatment is essential. The common treatment of low-grade intraosseous osteosarcoma includes limb-sparing surgery, including wide or radical resection of the sarcoma and a prosthesis. Chemotherapy and radiation are not as effective for low-grade tumors and are not indicated as long as the tumor is entirely low grade. Rarely does low-grade intraosseous osteosarcoma progress to a high-grade osteosarcoma.

Intralesional Curettage
Intralesional Curettage

Intralesional Curettage means to scoop the tumor out using a spoon-like tool called a curette. This is a surgery that aims to remove the mass and restore the bone so that the patient can get back to normal function. The ABC is identified within the bone and scooped, or curetted, out. The cavity is then shaved down with a Midas Rex Drill, which is similar to a dental drill. This drill removes more tumor cells.

Reconstruction with Prosthesis
Reconstruction with Prosthesis

I've seen many doctors and I can confidently attest Dr. Wittig is the preeminent orthopaedic specialist. He is genuinely kind and caring, as he demonstrated by completely addressing my concerns and compassionately relating to what I was dealing with. He clearly outlined the plan of attack, and recommended the two additional doctors who would become part of my 'team'. Dr. Wittig was so effective in allaying our fears and bringing us optimism. My surgery was significant, but I was up and walking the next day and back at the gym 5 weeks later. This is further testament to Dr. Wittig's skill. He saved my leg and my life, and I feel so very blessed to say he is my doctor. I have already recommended him to others, and I will continue to do so. I would trust him with my closest family and lifelong friends. BEST DOCTOR EVER.

S.G.

Img16516

Hey! I am Dr. Wittig.

Myself and my amazing team are dedicated to saving your life and your limb. Losing a limb because of a tumor can be a terrifying experience. But, it does not have to be the only option. I’ve spent 20+ years as a Board-Certified Orthopedic Surgeon and Orthopedic Oncologist.

I’ve devoted my career to helping children and adults afflicted with bone and soft tissue masses by performing complex limb saving surgeries. Most patients can have their limb saved, which may require innovative techniques.

Patients afflicted with musculoskeletal tumors have complex conditions that are best taken care of at large hospitals. I am the Chairman of Orthopedics and Chief of Orthopedic Oncology at Morristown Medical Center. My philosophy is a multidisciplinary team approach, working together to tailor treatment to individual patients. Education and research are essential to my practice, providing the best setting for extraordinary patient care. Because of this, we have some of the top results in the country.