Conventional Intramedullary Osteosarcoma

Conventional Osteosarcoma is the most common cancerous bone tumor that produces bone. This type of tumor occurs primarily in the bone of the femur, and humerus.

Osteosarcoma Conventional
Screen Shot 2022 08 19 At 11.26.50 AM

What is an Osteosarcoma?

A Conventional Osteosarcoma is a cancerous bone tumor. It comes from within the bone (intramedullary). It is a cancerous tumor, and can lead to bone destruction. It is a slow growing tumor that will not spread to other parts of the body in most cases.

Who is usually affected?
Who is usually affected?
  • • Primarily Adults 
  • • There is a higher prevalence in men
  • • Most cases occur between birth and 20 years old
  • • There is also a peak of cases in adults aged 65 or older
  • • Rare; 5 per million a year
Causes
Causes
  • • There is a possible genetic component. There are links to the mutations in tumor-suppressor genes.

 

 

Common Bones Involved
Common Bones Involved
  • • Femur
  • • Humerus
  • • Clavicle
  • • Scapula
  • • Pelvis
Signs and Symptoms
Signs and Symptoms
  • • Local swelling and bone or joint pain.
  • • Pain may worsen with activity.
  • • Decreased motion.
  • • A potential noticeable lump or mass.
Biological Behavior
Biological Behavior
  • • Conventional Osteosarcomas are malignant (cancerous) tumors that destroy bone.
  • • They are typically slow-growing.
  • • There is a moderate risk of recurrence after removal (resection) of the tumor.

 

 

 

Diagnosis
Diagnosis
  • • The work-up often consists of a physical examination, X-rays, CT scans, MRI, and sometimes bone scans are required. CT scans can be used to check for subtle mineralization that may help with the diagnosis
  • • CT of the chest is necessary to check for pulmonary metastases. The lungs and other bones are the to most common sites for the tumor to spread.
  • • The diagnosis is often confirmed with a biopsy, which means taking a sample of tumor and having it analyzed under a microscope by a pathologist.

Risk to your limbs

Conventional Osteosarcomas cancerous aggressive tumors that, if left unchecked, will grow and destroy your normal bone. As the tumor slowly grows, the bone is weakened and you are at an increased risk of breaking the bone due to the tumor (called a pathological fracture). They may also spread to your lungs or other bones.

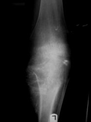
Radiographic imaging is used to help form a diagnosis. These include X-Ray, MRI, CT and Bone Scans

An example of a Conventional Osteosarcoma X-Ray is shown.

Osteosarcoma Diaphyseal

Treatment of

Conventional Osteosarcoma

The form of treatment depends on the grade (how abnormal the cancer cells and tumor tissue are) of the CO. The primary form of treatment is surgical removal (wide excision). This is a surgery that aims to remove the mass so that the patient can get back to normal function. Depending on whether the tumor is slow-growing (low-grade) or fast-growing (high-grade), chemotherapy may need to be considered prior to surgery.

I've seen many doctors and I can confidently attest Dr. Wittig is the preeminent orthopaedic specialist. He is genuinely kind and caring, as he demonstrated by completely addressing my concerns and compassionately relating to what I was dealing with. He clearly outlined the plan of attack, and recommended the two additional doctors who would become part of my 'team'. Dr. Wittig was so effective in allaying our fears and bringing us optimism. My surgery was significant, but I was up and walking the next day and back at the gym 5 weeks later. This is further testament to Dr. Wittig's skill. He saved my leg and my life, and I feel so very blessed to say he is my doctor. I have already recommended him to others, and I will continue to do so. I would trust him with my closest family and lifelong friends. BEST DOCTOR EVER.

S.G.

Img16516

Hey! I am Dr. Wittig.

Myself and my amazing team are dedicated to saving your life and your limb. Losing a limb because of a tumor can be a terrifying experience. But, it does not have to be the only option. I’ve spent 20+ years as a Board-Certified Orthopedic Surgeon and Orthopedic Oncologist.

I’ve devoted my career to helping children and adults afflicted with bone and soft tissue masses by performing complex limb saving surgeries. Most patients can have their limb saved, which may require innovative techniques.

Patients afflicted with musculoskeletal tumors have complex conditions that are best taken care of at large hospitals. I am the Chairman of Orthopedics and Chief of Orthopedic Oncology at Morristown Medical Center. My philosophy is a multidisciplinary team approach, working together to tailor treatment to individual patients. Education and research are essential to my practice, providing the best setting for extraordinary patient care. Because of this, we have some of the top results in the country.