Secondary 

Chondrosarcoma

Secondary chondrosarcoma is a malignant (cancerous) tumor that originates from a pre-existing cartilaginous tumor such as an osteochondroma or enchondroma.

Secondary Chondrosarc (1)
Screen Shot 2022 08 19 At 11.26.50 AM

What is Secondary Chondrosarcoma?

Secondary Chondrosarcoma is a low-grade, cancerous tumor. It is a type of bone sarcoma. The majority of secondary chondrosarcomas are associated with pre-existing diagnoses, including osteochondromas, Ollier’s disease, Maffucci syndrome, or Hereditary Multiple Exocitis (HME). Without the appropriate treatment, secondary chondrosarcomas may metastasize, or spread throughout the body.

Who is usually affected?
Who is usually affected?
  • • Slightly more common in males.
  • • Mean age is 34 years old. 
Causes
Causes
  • • Secondary chondrosarcoma is often associated with pre-existing lesions or diagnoses, including Hereditary Multiple Exocitis (HME), osteochondromas, Ollier’s disease, or Maffucci syndrome.
Common Bones Involved
Common Bones Involved
  • • Most commonly occurs in the pelvis or femur
  • • Humerus
  • • Clavicle
  • • Scapula
  • • Can metastasize to lungs, liver, and other bones.
Signs and Symptoms
Signs and Symptoms
  • • Signs and symptoms include pain and swelling, however symptoms may vary depending on the location of the sarcoma.
  • • Constipation can be a symptom if located in the pelvis. 
  • • Patients present with a palpable mass.
  • • Rarely, patient may have a fracture develop through the tumor.
Biological Behavior
Biological Behavior
  • • Secondary Chondrosarcoma is often associated with pre-existing lesions or diagnoses, including Hereditary Multiple Exocitis (HME), osteochondromas, Ollier’s disease, or Maffucci syndrome.
  • • HME is a rare, inherited condition characterized by multiple osteochondromas. EXT1, EXT2, and EXT3 are three genes that have been associated with HME. 
  • • Ollier’s Disease and Maffucci's Syndrome are more spontaneous conditions, characterized by multiple enchondromas dispersed throughout the body.
  • • Most secondary chondrosarcomas are low grade and grow slowly.
Diagnosis
Diagnosis
  • • The work-up for Secondary chondrosarcomas often consists of a physical examination, X-ray, MRI, and CT scans. The diagnosis is often confirmed with a biopsy, which samples the tumor for further analysis. CT scan of the chest and bone scan are also usually performed to look for spread to the lungs or other bones.

Risk to your limbs

Secondary Chondrosarcoma is a malignant, or cancerous, tumor that originates from a pre-existing cartilaginous tumor such as an osteochondroma or enchondroma. Although low-grade, secondary chondrosarcoma can dedifferentiate and becomes more aggressive and grows rapidly with a very high chance of metastasizing (spreading to lungs or other bones most commonly). There is also a risk of recurrence if they tumor is not completely removed. Proper and effective treatment is necessary to decrease the risks of recurrence and metastasis.

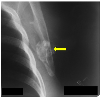
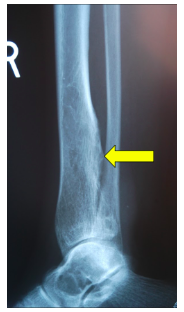
Radiographic imaging is used to help form a diagnosis of secondary chondrosarcoma. These include X-Ray, MRI, CT and Bone Scans

An example of an X-Ray is shown.

XR Secondary Chondrosarc

Treatment of Secondary Chondrosarcoma

The most common treatment for secondary chondrosarcoma includes a limb-sparing surgery. Wide and radical resections and reconstruction are commonly performed. Chemotherapy and radiation are only used in select cases, as most chondrosarcomas do not respond to chemotherapy or radiation.

I've seen many doctors and I can confidently attest Dr. Wittig is the preeminent orthopaedic specialist. He is genuinely kind and caring, as he demonstrated by completely addressing my concerns and compassionately relating to what I was dealing with. He clearly outlined the plan of attack, and recommended the two additional doctors who would become part of my 'team'. Dr. Wittig was so effective in allaying our fears and bringing us optimism. My surgery was significant, but I was up and walking the next day and back at the gym 5 weeks later. This is further testament to Dr. Wittig's skill. He saved my leg and my life, and I feel so very blessed to say he is my doctor. I have already recommended him to others, and I will continue to do so. I would trust him with my closest family and lifelong friends. BEST DOCTOR EVER.

S.G.

Img16516

Hey! I am Dr. Wittig.

Myself and my amazing team are dedicated to saving your life and your limb. Losing a limb because of a tumor can be a terrifying experience. But, it does not have to be the only option. I’ve spent 20+ years as a Board-Certified Orthopedic Surgeon and Orthopedic Oncologist.

I’ve devoted my career to helping children and adults afflicted with bone and soft tissue masses by performing complex limb saving surgeries. Most patients can have their limb saved, which may require innovative techniques.

Patients afflicted with musculoskeletal tumors have complex conditions that are best taken care of at large hospitals. I am the Chairman of Orthopedics and Chief of Orthopedic Oncology at Morristown Medical Center. My philosophy is a multidisciplinary team approach, working together to tailor treatment to individual patients. Education and research are essential to my practice, providing the best setting for extraordinary patient care. Because of this, we have some of the top results in the country.