Dedifferentiated Chondrosarcoma

A dedifferentiated chondrosarcoma is a highly aggressive cancerous cartilage tumor or neoplasm. If this tumor is not removed, it will bore into the bone. This may lead to bone breaking, also known as a pathological fracture. It has a very high risk of spreading to other parts of the body. 




Dedifferentiated Chondrosarcoma1
Screen Shot 2022 08 19 At 11.26.50 AM

What is a Dedifferentiated Chondrosarcoma?

This is an aggressive cancerous tumor that destroys bone. It most commonly affects the pelvis, femur, humerus, and ribs.

Who is usually affected?
Who is usually affected?
  • • Men and women are equally affected.
  • • Most cases occur between adulthood and old age.
  • • The most common age range is patients older than 50.
Causes
Causes
  • • There is currently no known cause of dedifferentiated chondrosarcoma.
Biological Behavior
Biological Behavior
  • • These are aggressive cancerous tumors that destroy bone.
  • • They have a very high risk of spreading with the most common area being the lungs.
Signs and Symptoms
Signs and Symptoms
  • • Pain, with or without fracture
  • • Pins and needles
  • • Swelling
Diagnosis
Diagnosis
  • • The work-up often consists of a physical examination, X-rays, CT scans, MRI, and sometimes bone scans are required.
  • • The diagnosis is often confirmed with a biopsy, which involves taking a sample of tumor and having it analyzed under a microscope by a pathologist.
Common Bones Involved
Common Bones Involved
  • • Femur
  • • Humerus
  • • Pelvis
  • • Ribs

Risk to your limbs

These are cancerous tumors that, if left unchecked, will grow and destroy your bone. As the tumor grows, you are at an increased risk of breaking the bone due to the tumor (called a pathological fracture), which is often one of the first sign of the condition. They may also spread to your lungs or other bones.

Radiographic imaging is used to help form a diagnosis. These include X-Ray, MRI, CT and Bone Scans

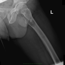
An example of a dedifferentiated chondrosarcoma X-Ray is shown.

15B) Dedifferentiated Chondrosarcoma Left Femur XR Lateral T HIP FROG Left

Treatment of Dedifferentiated Chondrosarcoma

Surgery
Surgery

The surgery we use to treat this condition is known as radical limb sparing resection. Radical means that the tumor is being removed from the root of the cancer. This is a surgery that aims to remove the mass and spare the body part so the patient can return back to normal function.

I've seen many doctors and I can confidently attest Dr. Wittig is the preeminent orthopaedic specialist. He is genuinely kind and caring, as he demonstrated by completely addressing my concerns and compassionately relating to what I was dealing with. He clearly outlined the plan of attack, and recommended the two additional doctors who would become part of my 'team'. Dr. Wittig was so effective in allaying our fears and bringing us optimism. My surgery was significant, but I was up and walking the next day and back at the gym 5 weeks later. This is further testament to Dr. Wittig's skill. He saved my leg and my life, and I feel so very blessed to say he is my doctor. I have already recommended him to others, and I will continue to do so. I would trust him with my closest family and lifelong friends. BEST DOCTOR EVER.

S.G.

Img16516

Hey! I am Dr. Wittig.

Myself and my amazing team are dedicated to saving your life and your limb. Losing a limb because of a tumor can be a terrifying experience. But, it does not have to be the only option. I’ve spent 20+ years as a Board-Certified Orthopedic Surgeon and Orthopedic Oncologist.

I’ve devoted my career to helping children and adults afflicted with bone and soft tissue masses by performing complex limb saving surgeries. Most patients can have their limb saved, which may require innovative techniques.

Patients afflicted with musculoskeletal tumors have complex conditions that are best taken care of at large hospitals. I am the Chairman of Orthopedics and Chief of Orthopedic Oncology at Morristown Medical Center. My philosophy is a multidisciplinary team approach, working together to tailor treatment to individual patients. Education and research are essential to my practice, providing the best setting for extraordinary patient care. Because of this, we have some of the top results in the country.