Clear Cell Chondrosarcoma

This is a malignant tumor or neoplasm composed of cartilage cells. It most commonly affects the ends of long bones such as the femur, humerus, and tibia.

Clear Cell Chondrosarcoma
Screen Shot 2022 08 19 At 11.26.50 AM

What is a Clear Cell Chondrosarcoma?

A clear cell chondrosarcoma is a slightly aggressive cancerous (malignant) tumor or neoplasm. It is a cancerous tumor, and can lead to bone destruction. It is a slow growing tumor that will not spread to other parts of the body in most cases.

Who is usually affected?
Who is usually affected?
  • • Most commonly affects adolescents to elderly.
  • • Men are more commonly affected.
  • • Most common cases occur between the ages of 30-50.
Causes
Causes
  • • There is currently no known cause of clear cell chondrosarcoma.
Common Bones Involved
Common Bones Involved
  • • Femur
  • • Humerus
  • • Tibia
Signs and Symptoms
Signs and Symptoms
  • • Pain and swelling
  • • Difficulty with motion
  • • Pain usually lasts over a long period of time
Biological Behavior
Biological Behavior
  • • These are malignant slightly aggressive tumors that destroy bone.
  • • There is some risk of the tumor coming back (recurrence) after surgical removal (excision), depending on the location and the proportion of cellular tissue.
  • • The risk of the tumor spreading (metastasis) is common.
Diagnosis
Diagnosis
  • • The work-up often consist of a physical examination, X-rays, CT scans, MRI, and sometimes bone scans are required.
  • • The diagnosis is often confirmed with a biopsy, which means taking a sample of tumor and having it analyzed under a microscope by a pathologist. 

Risk to your limbs

Clear Cell Chondrosarcoma are malignant slightly aggressive tumors that, if left unchecked, will lead to the spreading of the cancer and slow growth of the tumor. Clinically, local pain may be the first sign of a growing tumor. As the tumor grows, the bone is weakened are you are at an increased risk of breaking the bone due to the tumor (called a pathological fracture).

Radiographic imaging is used to help form a diagnosis. These include X-Ray, MRI, CT and Bone Scans

An example of an MRI is shown.

7D) Chondrosarcoma MRI Coronal Stir Of The Left Femur JW2

Treatment of Clear Cell Chondrosarcoma

Surgical treatment includes resections to remove the complete tumor and additional margins. The removal of additional, surrounding margins ensures that the tumor is completely removed and decreases the chances of the tumor coming back. The surgery we use to treat this condition is known as En Bloc Resection. En Bloc Resection means to remove the tumor surgically in its entirety.

Surgery
Surgery

Most common treatment is wide radical limb sparing surgery. Surgical treatment includes wide or radical resections to remove the complete tumor and additional margins. The removal of additional, surrounding margins ensures that the tumor is completely removed and decreases the chances of the tumor coming back.

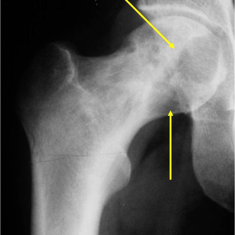
X-Ray of Clear Cell Chondrosarcoma
X-Ray of Clear Cell Chondrosarcoma

On an X-Ray, also called a radiograph, a clear cell chondrosarcoma can be diagnosed by looking at certain features. Most commonly seen in a clear cell chondrosarcoma is usually osteolytic, expansile lesion, that may be focally calcified, often a sharp interface between tumor and surrounding bone and the overlying cortex is usually thin, but intact.

X-Ray of Clear Cell Chondrosarcoma
X-Ray of Clear Cell Chondrosarcoma

I've seen many doctors and I can confidently attest Dr. Wittig is the preeminent orthopaedic specialist. He is genuinely kind and caring, as he demonstrated by completely addressing my concerns and compassionately relating to what I was dealing with. He clearly outlined the plan of attack, and recommended the two additional doctors who would become part of my 'team'. Dr. Wittig was so effective in allaying our fears and bringing us optimism. My surgery was significant, but I was up and walking the next day and back at the gym 5 weeks later. This is further testament to Dr. Wittig's skill. He saved my leg and my life, and I feel so very blessed to say he is my doctor. I have already recommended him to others, and I will continue to do so. I would trust him with my closest family and lifelong friends. BEST DOCTOR EVER.

S.G.

Img16516

Hey! I am Dr. Wittig.

Myself and my amazing team are dedicated to saving your life and your limb. Losing a limb because of a tumor can be a terrifying experience. But, it does not have to be the only option. I’ve spent 20+ years as a Board-Certified Orthopedic Surgeon and Orthopedic Oncologist.

I’ve devoted my career to helping children and adults afflicted with bone and soft tissue masses by performing complex limb saving surgeries. Most patients can have their limb saved, which may require innovative techniques.

Patients afflicted with musculoskeletal tumors have complex conditions that are best taken care of at large hospitals. I am the Chairman of Orthopedics and Chief of Orthopedic Oncology at Morristown Medical Center. My philosophy is a multidisciplinary team approach, working together to tailor treatment to individual patients. Education and research are essential to my practice, providing the best setting for extraordinary patient care. Because of this, we have some of the top results in the country.