Conventional Chondrosarcoma

A Conventional Chondrosarcoma is a cancerous bone tumor. It consists of cartilage located within the bone. It is a cancerous tumor, and can lead to bone destruction. It is a slow growing tumor that will not spread to other parts of the body in most cases.

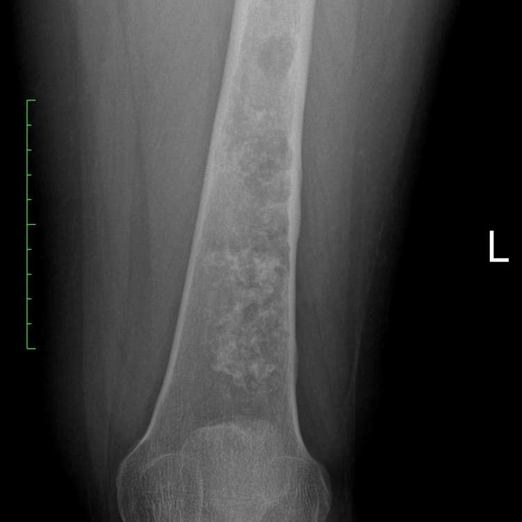
7A) Chondrosarcoma Case 1 Plain AP X Ray Of The Left Femur JW2
Screen Shot 2022 08 19 At 11.26.50 AM

What is a Conventional Chondrosarcoma?

Conventional Chondrosarcoma is a bone sarcoma (primary bone cancer) that is made up of cartilage tissue. Conventional means it is the most common type of a chondrosarcoma as there are multiple different types. Cartilage is a type of tissue that lines your joints and allows movement between bones and joints. This type of tumor occurs primarily in the femur, humerus, scapula and pelvis. A chondrosarcoma grows and destroys the bone, adjacent joints and surrounding muscle tissues. Since it is cancerous it can spread to other areas in the body. Conventional chondrosarcoma is classified according to their grade: Low grade, Intermediate grade, High grade. Low grade is slow growing and rarely if ever spread to other body parts. High grade grow rapidly and spread 30-50% of the time. 

Who is usually affected?
Who is usually affected?
  • • Primarily Adults 
  • • There is a slight prevalence of men
  • • Most cases occur between 40 and 70 years old
  • • Rare; 2 per million a year
Common Bones Involved
Common Bones Involved
  • • Femur
  • • Humerus
  • • Scapula
  • • Pelvis
Causes
Causes
  • • There is currently no known cause of conventional chondrosarcoma.
Signs and Symptoms
Signs and Symptoms
  • • Local swelling and pain
  • • Long lasting symptoms (months to years)
Biological Behavior
Biological Behavior
  • • These are malignant (cancerous) cartilage tumors that destroy bone, adjacent joints and spread into the surrounding muscles. 
  • • Conventional chondrosarcomas are classified according to their grade: Low grade, Intermediate grade, High grade. Low grade is slow growing and rarely if ever spread to other body parts. High grade tumors grow rapidly and spread 30-50% of the time. 
  • • Low grade chondrosarcomas are more common than high grade and are easier to treat. Low grade chondrosarcomas can undergo dedifferentiation meaning they change and become more aggressive. They actually can have another more aggressive sarcoma arise from them.
Diagnosis
Diagnosis
  • • The work-up is often consist of a physical examination, X-rays, CT scans, MRI, and sometimes bone scans are required. CT scans can be used to check for subtle mineralization that may help with the diagnosis
  • • CT of the chest is necessary to check for pulmonary metastases. The lungs and other bones are the to most common sites for the tumor to spread.
  • • The diagnosis is often confirmed with a biopsy, which means taking a sample of tumor and having it analyzed under a microscope by a pathologist.

Risk to your limbs

Conventional Chondrosarcomas are cancerous aggressive tumors that, if left unchecked, will grow and destroy your normal bone. Clinically, local pain and swelling may be the first signs of a growing tumor. As the tumor slowly grows, the bone is weakened and you are at an increased risk of breaking the bone due to the tumor. They may also spread to your lungs or other bones.

Radiographic imaging is used to help form a diagnosis. These include X-Ray, MRI, CT and Bone Scans

An example of an MRI is shown.

7D Chondrosarcoma Mri Coronal Stir Of The Left Femur Jw2 (1)

Treatment of

Conventional Chondrosarcoma

The form of treatment depends on the grade (how abnormal the cancer cells and tumor tissue are). The primary form of treatment is surgical removal (excision). Low-grade tumors can be treated with a procedure called intralesional curettage and burr-drilling. Liquid nitrogen (cryosurgery), argon beam ablation or other treatments may also be used with the curettage to kill cells and prevent the tumor from coming back. Curettage means to scoop the tumor out using a spoon-like tool called a curette. This is a surgery that aims to remove the mass so that the patient can get back to normal function. High grade tumors require a radical, en-bloc resection and reconstruction. Chemotherapy and radiation may be also recommended for specific  situations but in general are not effective against chondrosarcoma and never recommended for low grade tumors. 

Intralesional Curettage
Intralesional Curettage

Intralesional Curettage means to scoop the tumor out using a spoon-like tool called a curette. This is a surgery that aims to remove the mass and restore the bone so that the patient can get back to normal function. The ABC is identified within the bone and scooped, or curetted, out. The cavity is then shaved down with a Midas Rex Drill, which is similar to a dental drill. This drill removes more tumor cells.

Bone Grafting and Fixation
Bone Grafting and Fixation

The empty bone cavity is usually filled with bone graft or bone cement. Bone can be donated (allograft) or taken from the patient themselves (autograft). Fixation devices, such as a plate and screws, may be used in specific situations to prevent postoperative fracture.

I've seen many doctors and I can confidently attest Dr. Wittig is the preeminent orthopaedic specialist. He is genuinely kind and caring, as he demonstrated by completely addressing my concerns and compassionately relating to what I was dealing with. He clearly outlined the plan of attack, and recommended the two additional doctors who would become part of my 'team'. Dr. Wittig was so effective in allaying our fears and bringing us optimism. My surgery was significant, but I was up and walking the next day and back at the gym 5 weeks later. This is further testament to Dr. Wittig's skill. He saved my leg and my life, and I feel so very blessed to say he is my doctor. I have already recommended him to others, and I will continue to do so. I would trust him with my closest family and lifelong friends. BEST DOCTOR EVER.

S.G.

Img16516

Hey! I am Dr. Wittig.

Myself and my amazing team are dedicated to saving your life and your limb. Losing a limb because of a tumor can be a terrifying experience. But, it does not have to be the only option. I’ve spent 20+ years as a Board-Certified Orthopedic Surgeon and Orthopedic Oncologist.

I’ve devoted my career to helping children and adults afflicted with bone and soft tissue masses by performing complex limb saving surgeries. Most patients can have their limb saved, which may require innovative techniques.

Patients afflicted with musculoskeletal tumors have complex conditions that are best taken care of at large hospitals. I am the Chairman of Orthopedics and Chief of Orthopedic Oncology at Morristown Medical Center. My philosophy is a multidisciplinary team approach, working together to tailor treatment to individual patients. Education and research are essential to my practice, providing the best setting for extraordinary patient care. Because of this, we have some of the top results in the country.