Chondromyxoid Fibroma

A Chondromyxoid Fibroma (CMF) is a slow-growing benign yet aggressive bone tumor or neoplasm. Surgery is the standard of treatment. It is important that it is removed because it can be spread to other body parts. 

Screen Shot 2022 09 09 At 11.25.05 AM
Screen Shot 2022 08 19 At 11.26.50 AM

What is a Chondromyxoid Fibroma?

This is a benign aggressive, extremely rare bone tumor that is made up of three types of tissue: cartilage tissue, fibrous tissue and myxoid tissue. Aggressive means this tumor spreads and destroys bone. Benign means does not spread to other parts of the body. Myxoid tissue is a type of tissue that produces a mucous like substance. Fibrous tissue is made of collagen and forms tendons and ligaments as well as other soft tissues in the body. This is a slow-growing tumor that occurs primarily in the shin bone (tibia), femur, pelvis and small bones of hands and feet.  This tumor grows and destroys bone but does not spread to other body parts. Surgery is the mainstay of treatment patients do not require any sort of chemotherapy or radiation.



Causes
Causes
  • • There is no known cause of Chondromyxoid Fibroma

 

Signs and Symptoms
Signs and Symptoms
  • • Long history of mild to moderate pain.
  • • Swelling around the impacted area.
Who is usually affected?
Who is usually affected?
  • • Higher percentage of men affected 1.5:1.
  • • The majority of cases occur between 5 and 30 years old.
  • • It is rare, being 0.5% of all bone tumors

 

Common Bones Involved
Common Bones Involved
  • • Tibia
  • • Femur
  • • Pelvis
  • • Small bones of the hands, feet, vertebrae and ribs
Biological Behavior
Biological Behavior
  • • CMFs are benign but aggressive slow-growing tumors that destroy bone as they grow. This can result in a fracture or destroy the adjacent joint. 
  • • There is high risk of the tumor coming back (recurrence) after scooping the tumor out of the bone (curettage). This risk can be reduced with using cryosurgery, argon beam ablation or other methods to kill residual microscopic cells. 
  • • Rarely, CMFs can transform into a cancerous (malignant) tumor.
Diagnosis
Diagnosis
  • • The work-up for CMFs often consist of a physical examination, X-rays, CT scans, MRIs, and sometimes bone scans.
  • • The diagnosis is often confirmed with a biopsy, which means taking a sample of tumor and having it analyzed.

 

 

Risk to your limbs

CMFs are benign tumors that will grow slowly over time. As the tumor grows, the bone is weakened and you are at an increased risk of breaking the bone due to the tumor (called a pathological fracture).

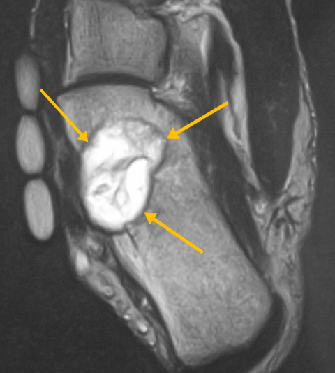
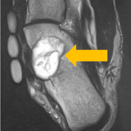
Radiographic imaging is used to help form a diagnosis of CMF. These include, X-Ray, MRI, CT and Bone Scans. An example of a CMF MRI is shown.

Screen Shot 2022 08 31 At 11.36.19 AM

Treatment of Chondromyxoid Fibroma

The primary form of treatment for CMF is surgical removal (excision). Most CMFs can be treated with a procedure called intralesional curettage and burr drilling called a curettage-resection.

Intralesional Curettage
Intralesional Curettage

The primary form of treatment for CMF is surgical removal (excision). Most CMFs can be treated with a procedure called intralesional curettage and burr drilling called a curettage-resection. Curettage means to scoop the tumor out using a spoon-like tool called a curette. The burr-drilling is similar to a dental drill and removes additional tumor cells by shaving the bone in the cavity even further.

Bone Grafting and Fixation
Bone Grafting and Fixation

The empty bone cavity is usually filled with bone graft or bone cement. Bone can be donated (allograft) or taken from the patient themselves (autograft). Fixation devices, such as a plate and screws, may be used in specific situations to prevent postoperative fracture.

I've seen many doctors and I can confidently attest Dr. Wittig is the preeminent orthopaedic specialist. He is genuinely kind and caring, as he demonstrated by completely addressing my concerns and compassionately relating to what I was dealing with. He clearly outlined the plan of attack, and recommended the two additional doctors who would become part of my 'team'. Dr. Wittig was so effective in allaying our fears and bringing us optimism. My surgery was significant, but I was up and walking the next day and back at the gym 5 weeks later. This is further testament to Dr. Wittig's skill. He saved my leg and my life, and I feel so very blessed to say he is my doctor. I have already recommended him to others, and I will continue to do so. I would trust him with my closest family and lifelong friends. BEST DOCTOR EVER.

S.G.

Img16516

Hey! I am Dr. Wittig.

Myself and my amazing team are dedicated to saving your life and your limb. Losing a limb because of a tumor can be a terrifying experience. But, it does not have to be the only option. I’ve spent 20+ years as a Board-Certified Orthopedic Surgeon and Orthopedic Oncologist.

I’ve devoted my career to helping children and adults afflicted with bone and soft tissue masses by performing complex limb saving surgeries. Most patients can have their limb saved, which may require innovative techniques.

Patients afflicted with musculoskeletal tumors have complex conditions that are best taken care of at large hospitals. I am the Chairman of Orthopedics and Chief of Orthopedic Oncology at Morristown Medical Center. My philosophy is a multidisciplinary team approach, working together to tailor treatment to individual patients. Education and research are essential to my practice, providing the best setting for extraordinary patient care. Because of this, we have some of the top results in the country.