James C. Wittig, MD
Book An Appointment
Conditions We Treat
Contact Us
Bone Sarcomas
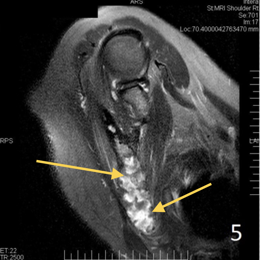
Adamantinoma
Conventional Chondrosarcoma
Clear Cell Chondrosarcoma
Dedifferentiated Chondrosarcoma
Mesenchymal Chondrosarcoma
Chordoma
Ewing's Sarcoma
Hemangioendothelioma
Hemangiopericytoma of Bone
Myeloma
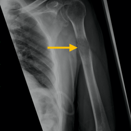
Conventional Osteosarcoma
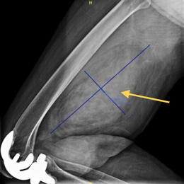
Parosteal Osteosarcoma
Periosteal Osteosarcoma
Telangiectatic Osteosarcoma
Undifferented Pleomorphic Sarcoma (UPS)
Benign Bone Tumors
Aneurysmal Bone Cyst
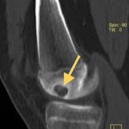
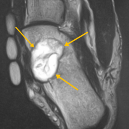
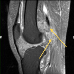
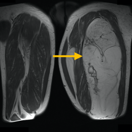
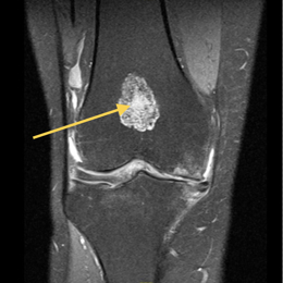
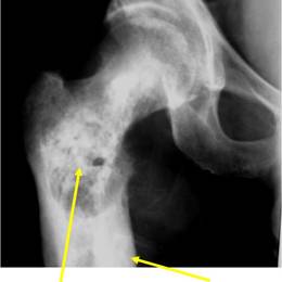
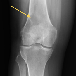
Chondroblastoma
Chondromyxoid Fibroma
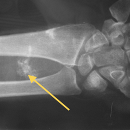
Enchondroma
Eosinophilic Granuloma
Fibrous Dysplasia
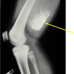
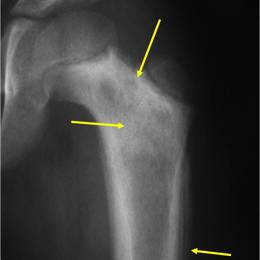
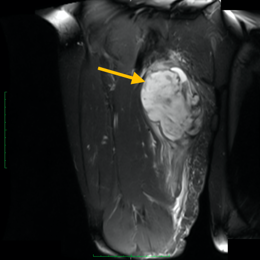
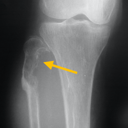
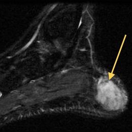
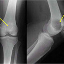
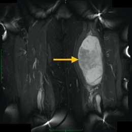
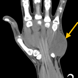
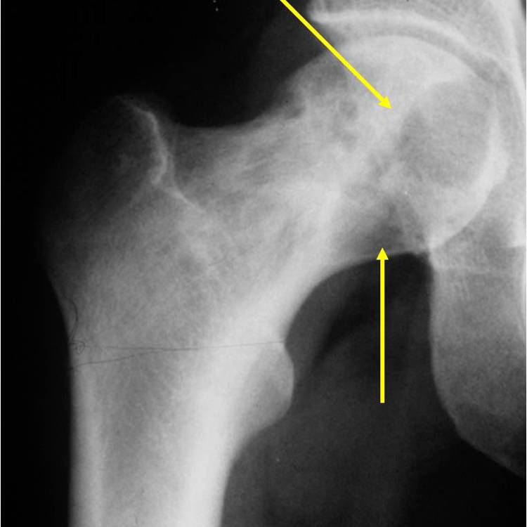
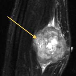
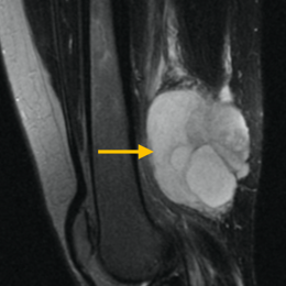
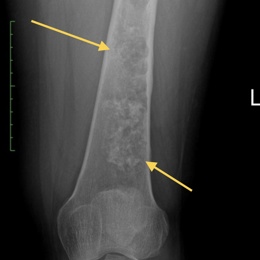
Giant Cell Tumor of Bone
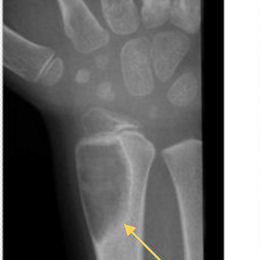
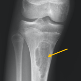
Nonossifying Fibroma
Osteoblastoma
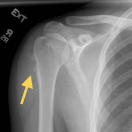
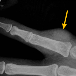
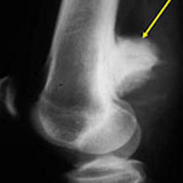
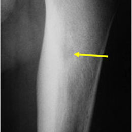
Osteochondroma
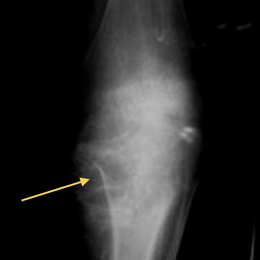
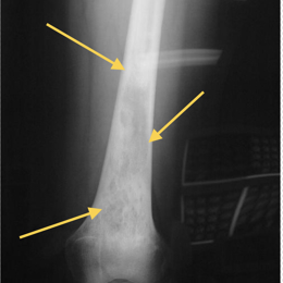
Osteoid Osteoma
Periosteal Chondroma
Soft Tissue Sarcomas
Alveolar Soft Part Sarcoma
Angiosarcoma
Clear Cell Sarcoma
Dermatofibrosarcoma Protuberans (DFSP)
Epitheliod Hemangioendothelioma
Fibrosarcoma
Hemangiopericytoma of Soft Tissue
Leimysosarcoma
Liposarcoma
Dedifferentiated Liposarcoma
Myxoid Liposarcoma
Pleomorphic Liposarcoma
Round Cell Liposarcoma
Malignant Peripheral Nerve Sheath Tumor (MPNST)
Rhabdomyosarcoma
Synovial Sarcoma
Undifferentiated Pleomorphic Sarcoma
Benign Soft Tissue Tumors
Giant Cell Tumor of Tendon Sheath
Fibromatosis
Infantile Fibromatosis
Nerve Tumor (Schwannoma)
Neurofibroma
Pigmented Villonodular Synovitis (PVNS)